Post-traumatic hypopituitarism: report of a child case
- PMID: 29123841
- PMCID: PMC5667293
- DOI: 10.1002/ams2.220
Post-traumatic hypopituitarism: report of a child case
Abstract
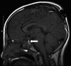
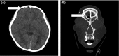
Case: We report a case of post-traumatic hypopituitarism in a 9-year-old boy who was injured in a car accident.
Outcome: Post-traumatic hypopituitarism might be caused by moderate to severe head trauma, and while this possibility has recently drawn attention in adults, few reports are available regarding children. Our patient experienced head and facial injury, resulting in post-traumatic hypopituitarism. Six hours after injury he suffered from diabetes insipidus and hormone replacement therapy was started. On day 12 he underwent facial fracture reduction under general anesthesia. On day 24 he was discharged from the hospital. One year after the injury, secretory function and water dehydration tests suggested the possibility of post-traumatic hypopituitarism.
Conclusion: We experienced a child case of post-traumatic hypopituitarism. Emergency physicians should pay attention to the possibility of post-traumatic hypopituitarism in cases of traumatic brain injury.
Keywords: Child; diabetes insipidus; head trauma; hypopituitarism.
Figures
References
-
- Schneider HJ, Corneli G, Kreitschman‐Andermahr I et al Traumatic brain injury and hypopituitarism in children and adolescents: is the problem under‐estimated? Pediatr. Endocrinol. Rev. 2007; 4: 205–9. - PubMed
-
- Agha A, Phillips J, Thompson CJ. Hypopituitarism following traumatic brain injury (TBI). Br. J. Neurosurg. 2007; 21: 210–6. - PubMed
-
- Leal‐Cerro A, Flores JM, Rincon M et al Prevalence of hypopituitarism and growth hormone deficiency in adults long‐term after severe traumatic brain injury. Clin. Endocrinol. (Oxf). 2005; 62: 525–32. - PubMed
-
- Girard J, Marelli R. Posttraumatic hypothalamo‐pituitary insufficiency. Diagnostic and therapeutic problems in a prepubertal child. J. Pediatr. 1997; 90: 241–2. - PubMed
-
- Khadr SN, Crofton PM, Jones PA et al Evaluation of pituitary function after traumatic brain injury in childhood. Clin. Endocrinol. (Oxf). 2010; 73: 637–43. - PubMed
Publication types
LinkOut - more resources
Full Text Sources
Other Literature Sources
