Extragenital malignant mixed mesodermal tumor: A case report
- PMID: 29136604
- PMCID: PMC5683040
- DOI: 10.1016/j.ijscr.2017.11.003
Extragenital malignant mixed mesodermal tumor: A case report
Abstract
Introduction: Primary malignant mixed mesodermal tumor (MMMt, also called malignant mixed Mullerian tumor and designated in the WHO classification of female genital tract neoplasms as carcinosarcoma) is an infrequent tumor that develops usually in the uterus and more rarely in the ovary. Extragenital tumor, including primary peritoneal MMMt, is an extremely rare and aggressive neoplasm with only few case reported in the literature.
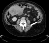
Presentation of case: We report a case of a 70-year's old female who presented with nausea and abdominal discomfort for 6 months. Workup revealed an abdominal mass. Patient was treated with surgical removal in a general hospital.
Discussion: Most peritoneal carcinosarcomas originate in the pelvic peritoneum, followed by decreasing frequency in the serosal surface of the colon, retroperitoneum, anterolateral abdominal peritoneum, and omentum. Surgical excision is the most effective treatment in carcinosarcomas. A complete cytoreduction, with resection of cancer to a status of no evidence of disease by the surgeon's unaided eye should be attempted.
Conclusion: Owing to the rarity of the disease, limited data regarding the management of peritoneal MMMT exists. Recommendations for the treatment of MMMT are based on individual cases only. In our case, the patient is alive with a follow-up of 15 months and she did not receive any cycle of chemotherapy.
Keywords: Carcinosarcoma; Case report; Malignant mixed mullerian tumor; Mixed mesodermal tumor; Primary peritoneal carcinosarcoma.
Copyright © 2017 The Author(s). Published by Elsevier Ltd.. All rights reserved.
Figures
References
-
- Cokelaere K., Michielsen P., De Vos R., Sciot R. Primary mesenteric malignant mixed mesodermal (mullerian) tumor with neuroendocrine differentiation. Mod. Pathol. 2001;14:515–520. - PubMed
-
- Ober W.B., Black M.B. Neoplasms of the subcoelomic mesenchyme: report of two cases. Arch. Pathol. 1955;59:698–705. - PubMed
-
- Ohno S., Kuwano H., Mori M., Sakata H., Mori A., Shinohara K. Malignant mixed mesodermal tumour of the peritoneum with a complete response to cyclophosphamide. Eur. J. Surg. Oncol. 1989;15(3):287–291. - PubMed
-
- Garde J.R., Jones M.A., McAfee R., Tarraza H.M. Extragenital malignant mixed mullerian tumor: review of the literature. Gynecol. Oncol. 1991;43(2):186–190. - PubMed
LinkOut - more resources
Full Text Sources
Other Literature Sources
Research Materials
