Catatonia, beyond a psychiatric syndrome
- PMID: 29213514
- PMCID: PMC5710691
- DOI: 10.1590/1980-57642016dn11-020015
Catatonia, beyond a psychiatric syndrome
Abstract
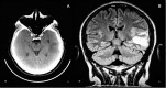
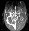
Although catatonia is a well-known psychiatric syndrome, there are many possible systemic and neurological etiologies. The aim of this case report was to present a case of a patient with cerebral venous sinus thrombosis and infarction in which catatonia was the clinical manifestation of a possible nonconvulsive status epilepticus. To our knowledge, only one such case has been reported in the literature, which had a simplified diagnostic investigation. It is important to correctly recognize the organic cause underlying catatonia in order to treat the patient as soon as possible thereby improving outcome. Therefore, physicians need to update their knowledge on catatonia, recognizing that it can be part of a psychiatric or neurologic condition.
Embora a catatonia seja uma síndrome psiquiátrica bem conhecida, existem várias etiologias possíveis, tanto sistêmicas quanto neurológicas. O objetivo deste relato de caso é apresentar um quadro de trombose venosa central com infarto venoso em que a catatonia foi a manifestação clínica de um possível status não convulsivo. Na concepção dos autores, apenas um caso é encontrado na literatura, porém com uma propedêutica simplificada. É importante o correto reconhecimento das causas orgânicas que podem estar causando a catatonia para que sejam corrigidas assim que possível, melhorando o prognóstico do paciente. Além disso, os médicos precisam atualizar seus conhecimentos sobre a catatonia, uma vez que ela pode ser parte tanto de uma condição psiquiátrica quanto neurológica.
Keywords: brain infarction; catatonia; intracranial sinus thrombosis; status epilepticus.
Conflict of interest statement
Disclosure: The authors report no conflicts of interest.
Figures
References
-
- Wijemanne S, Jankovic J. Movement disorders in catatonia. J Neurol Neurosurg Psychiatry. 2015;86(8):825–832. - PubMed
-
- American Psychiatric Association . Diagnostic and Statistical Manual of Mental Disorders. 5th ed. Arlington: American Psychiatric Association; 2013. pp. 949–949.
-
- Tandon R, Heckers S, Bustillo J, Barch DM, Gaebel W, Gur RE, et al. Catatonia in DSM-5. Schizophr Res. 2013;150(1):26–30. - PubMed
-
- Carroll BT, Anfinson TJ, Kennedy JC, Yendrek R, Boutros M, Bilon A. Catatonic disorder due to general medical conditions. J Neuropsychiatry Clin Neurosci. 1994;6(2):122–133. - PubMed
Publication types
LinkOut - more resources
Full Text Sources
Other Literature Sources
