Endobronchial hamartoma mimicking malignant lung tumor contralateral endobronchial metastasis: A case report
- PMID: 29245328
- PMCID: PMC5728943
- DOI: 10.1097/MD.0000000000009085
Endobronchial hamartoma mimicking malignant lung tumor contralateral endobronchial metastasis: A case report
Abstract
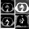
Rationale: Endobronchial hamartoma, the most common benign lung tumor, is located in the bronchus, and it easily mimics lung cancer or bronchial metastasis. Endobronchial hamartoma can cause coughing, hemoptysis, and pulmonary infection; thus, it should be treated right away by surgery or fiberoptic bronchoscopy.
Patient concerns: We report a rare case of endobronchial hamartoma in which the clinical symptoms and imaging overlapped strongly with malignant lung tumor contralateral endobronchial metastasis.
Diagnoses: Endobronchial hamartoma coexisting with a malignant lung tumor.
Interventions: Fiberoptic bronchoscopy was conducted, and the pathologic diagnosis was hamartoma. A second fiberoptic bronchoscopy was conducted, and fine-needle aspiration cytology of the enlarged lymph nodes indicated squamous cell carcinoma.
Outcomes: The clinical symptoms were relieved, and the treatment options were docetaxel, cis-dichlorodiamineplatinum, and endostatin.
Lessons: Fiberoptic bronchoscopy needs to be guided by imaging and can be considered an effective method for the diagnosis of endobronchial hamartoma.
Conflict of interest statement
The authors report no conflicts of interest.
Figures





References
-
- Gjevre JA, Myers JL, Prakash UB. Pulmonary hamartomas. Mayo Clin Proc 1996;71:14–20. - PubMed
-
- Cosio BG, Villena V, Echave-Sustaeta J, et al. Endobronchial hamartoma. Chest 2002;122:202–5. - PubMed
-
- El-Kersh K, Perez RL, Gauhar U. A 63-year-old man with a chronic cough and an endobronchial lesion. Diagnosis: endobronchial hamartoma. Chest 2014;145:919–22. - PubMed
-
- Nussbaumer-Ochsner Y, Rassouli F, Uhlmann F, et al. Endobronchial lipoma mimicking bronchial carcinoid tumour. Thorax 2015;70:809. - PubMed
-
- Wang T, Liu Y. Outcomes of surgical treatments of pulmonary hamartoma. J Cancer Res Ther 2016;12:116–9. - PubMed
Publication types
MeSH terms
LinkOut - more resources
Full Text Sources
Other Literature Sources
Medical