Autoimmune-Disease-Prone NOD Mice Help To Reveal a New Genetic Locus for Reducing Pulmonary Disease Caused by Mycoplasma pulmonis
- PMID: 29263105
- PMCID: PMC5820957
- DOI: 10.1128/IAI.00812-17
Autoimmune-Disease-Prone NOD Mice Help To Reveal a New Genetic Locus for Reducing Pulmonary Disease Caused by Mycoplasma pulmonis
Abstract
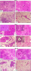
Mycoplasmas are bacterial pathogens of a range of animals, including humans, and are a common cause of respiratory disease. However, the host genetic factors that affect resistance to infection or regulate the resulting pulmonary inflammation are not well defined. We and others have previously demonstrated that nonobese diabetic (NOD) mice can be used to investigate disease loci that affect bacterial infection and autoimmune diabetes. Here we show that NOD mice are more susceptible than C57BL/6 (B6) mice to infection with Mycoplasma pulmonis, a natural model of pulmonary mycoplasmosis. The lungs of infected NOD mice had higher loads of M. pulmonis and more severe inflammatory lesions. Moreover, congenic NOD mice that harbored different B6-derived chromosomal intervals enabled identification and localization of a new mycoplasmosis locus, termed Mpr2, on chromosome 13. These congenic NOD mice demonstrated that the B6 allele for Mpr2 reduced the severity of pulmonary inflammation caused by infection with M. pulmonis and that this was associated with altered cytokine and chemokine concentrations in the infected lungs. Mpr2 also colocalizes to the same genomic interval as Listr2 and Idd14, genetic loci linked to listeriosis resistance and autoimmune diabetes susceptibility, respectively, suggesting that allelic variation within these loci may affect the development of both infectious and autoimmune disease.
Keywords: Mycoplasma pulmonis; autoimmune disease; complex genetic trait; congenic mice; infectious disease; murine respiratory mycoplasmosis; nonobese diabetic mouse; pulmonary inflammation; resistance loci.
Copyright © 2018 American Society for Microbiology.
Figures
References
-
- Cassell GH, Lindsey JR, Davis JK, Davidson MK, Brown MB, Mayo JG. 1981. Detection of natural Mycoplasma pulmonis infection in rats and mice by an enzyme linked immunosorbent assay (ELISA). Lab Anim Sci 31:676–682. - PubMed
-
- Cassell GH. 1982. Derrick Edward Award Lecture. The pathogenic potential of mycoplasmas: Mycoplasma pulmonis as a model. Rev Infect Dis 4(Suppl):S18–S34. - PubMed
Publication types
MeSH terms
Grants and funding
LinkOut - more resources
Full Text Sources
Other Literature Sources
Medical
