Q Fever Presented as a Large Retroperitoneal Pseudotumoral Mass
- PMID: 29270326
- PMCID: PMC5705882
- DOI: 10.1155/2017/4076159
Q Fever Presented as a Large Retroperitoneal Pseudotumoral Mass
Abstract
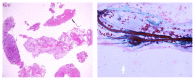
Background: Q fever is an infection caused by Coxiella burnetii, an intracellular organism. Acute infection is most often a benign and asymptomatic process; however, some individuals may go on to develop subacute and persistent localized symptomatic Q fever. As such, the clinical and histopathologic findings of Q fever are widely variable and may be missed if clinical suspicion is not high.
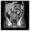
Case presentation: Herein we report the first case of C. burnetii infection presenting as an isolated retroperitoneal mass. A 61-year-old male underwent axillary-bifemoral bypass surgery. His postoperative course was complicated by the discovery of a large retroperitoneal mass.
Conclusion: Clinical and histopathologic findings of Coxiella burnetii infection are variable and can be deceiving. These are often nonspecific, especially in its persistent localized infectious stages.
Figures
References
Publication types
LinkOut - more resources
- Full Text Sources
- Other Literature Sources
- Research Materials
 
         
               
              