Peripheral T-cell lymphoma, not otherwise specified
- PMID: 29302559
- PMCID: PMC5749098
- DOI: 10.4103/jfmpc.jfmpc_323_16
Peripheral T-cell lymphoma, not otherwise specified
Abstract
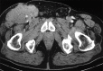
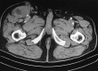
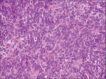
The peripheral T-cell lymphoma, not otherwise specified (PTCL, NOS) belongs to a heterogeneous class of aggressive neoplasms. Although several morphologic subtypes of this tumor have been described, no particular genetic, immunological, or distinct clinical features define this disease. Patients can experience night sweats, fever, lymphadenopathy, weight loss, splenomegaly, and/or skin changes. Common laboratory tests reveal that patients have anemia, thrombocytosis, lymphocytosis, eosinophilia, hypergammaglobulinemia, or increased lactate dehydrogenase. In this case study, a patient presented with massive lymphadenopathy and right lower limb swelling, which he developed over 6 weeks. A tissue biopsy and supporting investigations confirmed the diagnosis of PTCL, NOS.
Keywords: CHOP regimen; lymphoma; peripheral T-cell lymphoma not otherwise specified; pralatrexate.
Conflict of interest statement
There are no conflicts of interest.
Figures




References
-
- Armitage JO, Weisenburger DD. New approach to classifying non-Hodgkin's lymphomas: Clinical features of the major histologic subtypes. Non-Hodgkin's Lymphoma Classification Project. J Clin Oncol. 1998;16:2780–95. - PubMed
-
- A clinical evaluation of the International Lymphoma Study Group classification of non-Hodgkin's lymphoma. The Non-Hodgkin's Lymphoma Classification Project. Blood. 1997;89:3909–18. - PubMed
-
- Ellin F, Landström J, Jerkeman M, Relander T. Real-world data on prognostic factors and treatment in peripheral T-cell lymphomas: A study from the Swedish Lymphoma Registry. Blood. 2014;124:1570–7. - PubMed
Publication types
LinkOut - more resources
Full Text Sources
Other Literature Sources
Research Materials