Skip to main page content
U.S. flag

An official website of the United States government

Dot gov

The .gov means it’s official.
Federal government websites often end in .gov or .mil. Before sharing sensitive information, make sure you’re on a federal government site.

Https

The site is secure.
The https:// ensures that you are connecting to the official website and that any information you provide is encrypted and transmitted securely.

Access keys NCBI Homepage MyNCBI Homepage Main Content Main Navigation
Review
. 2018 May 1;8(5):a028969.
doi: 10.1101/cshperspect.a028969.

Magnetic Resonance Imaging in Multiple Sclerosis

Affiliations
Review

Magnetic Resonance Imaging in Multiple Sclerosis

Christopher C Hemond et al. Cold Spring Harb Perspect Med. .

Abstract

Since its technical development in the early 1980s, magnetic resonance imaging (MRI) has quickly been adopted as an essential tool in supporting the diagnosis, longitudinal monitoring, evaluation of therapeutic response, and scientific investigations in multiple sclerosis (MS). The clinical usage of MRI has increased in parallel with technical innovations in the technique itself; the widespread adoption of clinically routine MRI at 1.5T has allowed sensitive qualitative and quantitative assessments of macroscopic central nervous system (CNS) inflammatory demyelinating lesions and tissue atrophy. However, conventional MRI lesion measures lack specificity for the underlying MS pathology and only weakly correlate with clinical status. Higher field strength units and newer, advanced MRI techniques offer increased sensitivity and specificity in the detection of disease activity and disease severity. This review summarizes the current status and future prospects regarding the role of MRI in the characterization of MS-related brain and spinal cord involvement.

PubMed Disclaimer

Figures

Figure 1.
Figure 1.
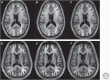
Typical multiple sclerosis (MS) white matter and gray matter lesions in the brain as shown by cerebral 3T magnetic resonance imaging (MRI). (Left and middle panel) White matter lesions from a 40-year-old woman with relapsing-remitting MS (RRMS), showing 3D sagittal fluid-attenuated inversion recovery (FLAIR, left panel) and 2D axial FLAIR (middle panel). Note the perivenular “Dawson’s fingers” orientation of lesions (arrows, left panel) and numerous periventricular lesions with ovoid/oval predominant configuration on both images. (Right panel) High-resolution FLAIR and a coregistered 3D-modified driven-equilibrium Fourier transform (MDEFT) scans showing a FLAIR hyperintense lesion (arrow) that is MDEFT hypointense (arrow) and involves the cerebral cortex in a 29-year-old man with RRMS.
Figure 2.
Figure 2.
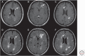
T1-weighted spin-echo images to detect white matter lesions in multiple sclerosis (MS). Cerebral 1.5T magnetic resonance imaging (MRI) scans showing typical MS findings. (A) T1-weighted spin-echo (T1SE) postcontrast image showing a typical homogeneous gadolinium-enhancing lesion (arrow) corresponding to a hyperintense lesion (arrow) on the fluid-attenuated inversion recovery (FLAIR) scan (D). Also note in A two posterior open-ring enhancing lesions. (B) T1SE postcontrast image showing a heterogeneous/atypical gadolinium-enhancing lesion (arrow) corresponding to a large hyperintense lesion (arrow) on FLAIR (E). (C) T1SE noncontrast scan showing hypointense lesions (arrows) corresponding to hyperintense lesions (arrows) on FLAIR (F). Note in C, the anterior lesion has more prominent hypointensity than the posterior lesion. These images are from a 24-year-old man with clinically active relapsing-remitting MS.
Figure 3.
Figure 3.
Quantitative serial 3T magnetic resonance imaging (MRI) analysis depicting mild (top) and severe (bottom) brain atrophy rates. All images are high-resolution 3D-modified driven-equilibrium Fourier transform (MDEFT) sequences in the axial plane. Top row shows subtle, mild progressive atrophy in a 56-year-old woman with relapsing remitting multiple sclerosis (RRMS) at (A) baseline, (B) 3 years, and (C) 5 years. Using the fully automated SIENA package (fsl.fmrib.ox.ac.uk/fsl/fslwiki/SIENA), her whole-brain percent brain volume change is 0.28% per year. A more severe atrophy rate is shown in the bottom row in a 29-year-old man with RRMS at (D) baseline, (E) 2 years, and (F) 4 years. SIENA demonstrates a whole-brain percent volume change of 0.79% per year, at least two to five times higher than the healthy expected rate of someone his age.
Figure 4.
Figure 4.
Typical multiple sclerosis (MS) lesions in the spinal cord. 3T magnetic resonance imaging (MRI) scans from a 46-year-old man with relapsing-remitting MS. (A) Short-tau inversion-recovery cervical spinal cord scan shows two hyperintense lesions at the C3 (arrow) and C3–C4 vertebral levels. (B) Axial fast spin-echo T2-weighted scan through the superior (C3) lesion shows the dorsal midline location of the lesion (arrow).
Figure 5.
Figure 5.
Central vein sign. T2* images at 3T. (A) White matter lesions in a patient with ischemic small vessel disease. The axial and sagittal views show small lesions in the deep white matter of the frontal lobes and in the subcortical region, which have no central veins. (B) White matter lesions in a patient with relapsing-remitting multiple sclerosis, showing deep white matter and periventricular lesions with central veins (red arrows). Acquisition: 3T Achieva (Philips Healthcare, Best, The Netherlands), a 32-channel receive-only head coil, 3D T2*-weighted gradient-echo, with an echo planar imaging factor of 15 in the sagittal plane; the matrix was 448 × 448 × 336 with a noninterpolated voxel size of 0.55 × 0.55 × 0.55 mm. Parallel imaging factors of 2 in both phase encoding directions. In addition, the water-only excitation flip angle was 10 degrees, with an effective echo time of 29 ms, repetition time of 54 ms, and two signal averages similar to Sati et al. (2014). (Figure courtesy of Nikos Evangelou and colleagues.)

References

    1. Absinta M, Nair G, Sati P, Cortese ICM, Filippi M, Reich DS. 2015a. Direct MRI detection of impending plaque development in multiple sclerosis. Neurol Neuroimmunol Neuroinflamm 2: e145. - PMC - PubMed
    1. Absinta M, Vuolo L, Rao A, Nair G, Sati P, Cortese ICM, Ohayon J, Fenton K, Reyes-Mantilla MI, Maric D, et al. 2015b. Gadolinium-based MRI characterization of leptomeningeal inflammation in multiple sclerosis. Neurology 85: 18–28. - PMC - PubMed
    1. Absinta M, Sati P, Reich DS. 2016. Advanced MRI and staging of multiple sclerosis lesions. Nat Rev Neurol 12: 358–368. - PMC - PubMed
    1. Agosta F, Absinta M, Sormani MP, Ghezzi A, Bertolotto A, Montanari E, Comi G, Filippi M. 2007a. In vivo assessment of cervical cord damage in MS patients: A longitudinal diffusion tensor MRI study. Brain 130: 2211–2219. - PubMed
    1. Agosta F, Pagani E, Caputo D, Filippi M. 2007b. Associations between cervical cord gray matter damage and disability in patients with multiple sclerosis. Arch Neurol 64: 1302–1305. - PubMed

MeSH terms

LinkOut - more resources