Skip to main page content
U.S. flag

An official website of the United States government

Dot gov

The .gov means it’s official.
Federal government websites often end in .gov or .mil. Before sharing sensitive information, make sure you’re on a federal government site.

Https

The site is secure.
The https:// ensures that you are connecting to the official website and that any information you provide is encrypted and transmitted securely.

Access keys NCBI Homepage MyNCBI Homepage Main Content Main Navigation
Review
. 2018 Jan 24;27(147):170062.
doi: 10.1183/16000617.0062-2017. Print 2018 Mar 31.

Physiology of the lung in idiopathic pulmonary fibrosis

Affiliations
Review

Physiology of the lung in idiopathic pulmonary fibrosis

Laurent Plantier et al. Eur Respir Rev. .

Abstract

The clinical expression of idiopathic pulmonary fibrosis (IPF) is directly related to multiple alterations in lung function. These alterations derive from a complex disease process affecting all compartments of the lower respiratory system, from the conducting airways to the lung vasculature. In this article we review the profound alterations in lung mechanics (reduced lung compliance and lung volumes), pulmonary gas exchange (reduced diffusing capacity, increased dead space ventilation, chronic arterial hypoxaemia) and airway physiology (increased cough reflex and increased airway volume), as well as pulmonary haemodynamics related to IPF. The relative contribution of these alterations to exertional limitation and dyspnoea in IPF is discussed.

PubMed Disclaimer

Conflict of interest statement

Conflict of interest: None declared.

Figures

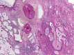
FIGURE 1
FIGURE 1
Pathological alterations in idiopathic pulmonary fibrosis (IPF). Lung biopsy of a patient with IPF showing the usual interstitial pneumonia pattern (haematoxylin–eosin–saffron stain; ×10 magnification; scale bar=500 µm). Fibrotic lung with microscopic honeycomb change (#) and remodelled arteries (arrows) is visible on the right, adjacent to preserved alveolar parenchyma on the left. Fibroblastic foci (arrowheads) are visible in between. A bronchiole is visible in the upper left corner of the micrograph.
FIGURE 2
FIGURE 2
Model for the association between pathological features, physiological alterations and their association with pathological and clinical features. Filled arrows represent strong and/or demonstrated associations; dotted arrows represent associations seen in end-stage disease. V′/Q′: ventilation/perfusion ratio; PH: pulmonary hypertension.

References

    1. Richeldi L, Cottin V, du Bois RM, et al. . Nintedanib in patients with idiopathic pulmonary fibrosis: combined evidence from the TOMORROW and INPULSIS trials. Respir Med 2016; 113: 74–79. - PubMed
    1. Ley B, Swigris J, Day B-M, et al. . Pirfenidone reduces respiratory-related hospitalizations in idiopathic pulmonary fibrosis. Am J Respir Crit Care Med 2017; 196: 756–761. - PMC - PubMed
    1. Rogliani P, Calzetta L, Cavalli F, et al. . Pirfenidone, nintedanib and N-acetylcysteine for the treatment of idiopathic pulmonary fibrosis: a systematic review and meta-analysis. Pulm Pharmacol Ther 2016; 40: 95–103. - PubMed
    1. Nathan SD, Albera C, Bradford WZ, et al. . Effect of continued treatment with pirfenidone following clinically meaningful declines in forced vital capacity: analysis of data from three phase 3 trials in patients with idiopathic pulmonary fibrosis. Thorax 2016; 71: 429–435. - PMC - PubMed
    1. Fisher M, Nathan SD, Hill C, et al. . Predicting life expectancy for pirfenidone in idiopathic pulmonary fibrosis. J Manag Care Spec Pharm 2017; 23: Suppl. 3b, S17–S24. - PMC - PubMed