Malignant rectal melanoma in 2 dogs
- PMID: 29386674
- PMCID: PMC5764220
Malignant rectal melanoma in 2 dogs
Abstract
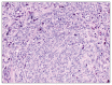
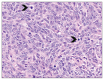
Two rare cases of malignant rectal melanoma in dogs are described. Tumors were locally invasive and composed of spindle cells arranged in interweaving bundles, sheets, and nests within preexisting fibrovascular stroma. Mitotic count was high. The diagnosis was achieved based on histopathology and immunohistochemistry for PNL2 and melan-A.
Mélanome rectal malin chez 2 chiens. Deux cas rares de mélanome rectal malin chez les chiens sont décrits. Les tumeurs étaient localement envahissantes et composées de cellules fusiformes disposées en faisceaux entrelacés, de feuilles et de nids dans le stroma fibrovasculaire préexistant. Le compte mitotique était élevé. Le diagnostic a été réalisé sur la base de l’histopathologie et de l’immunohistochimie pour le PNL2 et le melan-A.(Traduit par les auteurs).
Conflict of interest statement
The authors declare no potential conflicts of interest with respect to the research, authorship, and/or publication of this article.
Figures




References
-
- Smedley RC, Spangler WL, Esplin DG, et al. Prognostic markers for canine melanocytic neoplasms: A comparative review of the literature and goals for future investigation. Vet Pathol. 2011;48:54–72. - PubMed
-
- Smith SH, Goldschmidt MH, McManus PM. A comparative review of melanocytic neoplasms. Vet Pathol. 2002;39:651–678. - PubMed
-
- Spangler WL, Kass PH. The histologic and epidemiologic bases for prognostic considerations in canine melanocytic neoplasia. Vet Pathol. 2006;43:136–149. - PubMed
-
- Rovesti GL, Guandalini A, Peiffer R. Suspected latent vertebral metastasis of uveal melanoma in a dog: A case report. Vet Ophthalmol. 2001;4:75–77. - PubMed
Publication types
MeSH terms
LinkOut - more resources
Full Text Sources
Medical