Endovascular stent graft repair of aortogastric fistula caused by peptic ulcer after esophagectomy: A case report
- PMID: 29390289
- PMCID: PMC5815701
- DOI: 10.1097/MD.0000000000008959
Endovascular stent graft repair of aortogastric fistula caused by peptic ulcer after esophagectomy: A case report
Abstract
Rationale: Aortogastric fistula (AGF) is a rare but devastating clinical complication after esophagectomy. In a recent report, nearly all AGF patients died of massive hemorrhage or aspiration of massive hematemesis. Therefore, timely appropriate treatment of AGF remains a challenge.Herein, we report a case of AGF that resulted from peptic ulceration after esophagectomy and was successfully treated with endovascular stent graft placement.
Patient concerns: A 59-year-old man had undergone video-assisted thoracoscopic esophagectomy for squamous cell carcinoma and esophageal reconstruction using a gastric tube 14 months previously. He suddenly experienced massive hematemesis and unstable circulatory dynamics, Infusion was performed to treat critical hemorrhagic shock but was ineffective. We informed the patient and his family members of the situation, and once written informed consent to treatment was provided, we rushed him to the operating room.
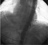
Diagnoses: Contrast medium permeated into the gastric cavity through a fistula between the abdominal aorta and gastric tube at the 11th thoracic level, Based on this, we made a diagnosis of AGF resulting from a peptic ulcer, and this diagnosis was further confirmed by high pressure angiography combined with computed tomography (CT) imaging.
Interventions: An endovascular stent graft was placed under the guidance of digital subtraction angiography and followed by antibiotic therapy to prevent infection and proton pump inhibitor therapy to inhibit gastric acid secretion.
Outcomes: The patient recovered uneventfully after the procedure. Four months after surgery, the patient died of organ failure caused by retroperitoneal lymph node metastasis and multiple intrahepatic metastases, with no postoperative bleeding linked to the endovascular stent graft repair.
Lessons: Our case supports the notion that endovascular stent graft repair is a feasible alternative in treatment of AGF with several advantages in addition to surgical intervention, although more such cases should be collected and analyzed in the future to corroborate our observations.
Copyright © 2017 The Authors. Published by Wolters Kluwer Health, Inc. All rights reserved.
Conflict of interest statement
The authors have no conflicts of interest to disclose.
Figures





References
-
- Mochizuki Y, Akiyama S, Koike M, et al. A peptic ulcer in a reconstructed perforating the thoracic aorta after esophageal replacement. Jpn J Thorac Cardiovasc Surg 2003;51:448–51. - PubMed
-
- Okamura A, Kawakubo H, Takeuchi H, et al. Successful treatment of aortogastric fistula after esophagectomy. Esophagus 2015;12:387–91.
-
- Ide H, Eguchi R, Nakamura T, et al. Late management of patients after esophagectomy and reconstruction for esophageal cancer (Eng abstr). Nihon Shokaki Geka Gakkai Zasshi 1995;28:2028–61.
-
- Katsoulis IE, Veloudis G, Exarchos D, et al. Perforation of a gastric tube peptic ulcer into the thoracic aorta. Dis Esophagus 2001;14:76–8. - PubMed
-
- Takebayashi T, Okushiba S, Ohno K, et al. Peptic ulcer-induced acute aortogastric fistula occurring 7 years after a pharyngogastrostomy following a resection for carcinoma of the esophagus: report of a case. Surg Today 2004;34:777–9. - PubMed
Publication types
MeSH terms
LinkOut - more resources
Full Text Sources
Other Literature Sources
Medical