Skip to main page content
U.S. flag

An official website of the United States government

Dot gov

The .gov means it’s official.
Federal government websites often end in .gov or .mil. Before sharing sensitive information, make sure you’re on a federal government site.

Https

The site is secure.
The https:// ensures that you are connecting to the official website and that any information you provide is encrypted and transmitted securely.

Access keys NCBI Homepage MyNCBI Homepage Main Content Main Navigation
Case Reports
. 2017 Dec;15(2):37-41.
doi: 10.5049/EBP.2017.15.2.37. Epub 2017 Dec 31.

Edematous Hyponatremia Treated with Tolvaptan in a Patient with Amyotrophic Lateral Sclerosis

Affiliations
Case Reports

Edematous Hyponatremia Treated with Tolvaptan in a Patient with Amyotrophic Lateral Sclerosis

Gheun-Ho Kim. Electrolyte Blood Press. 2017 Dec.

Abstract

Amyotrophic lateral sclerosis (ALS) patients rarely present with either syndrome of inappropriate antidiuretic hormone secretion or generalized edema. Tolvaptan is a selective vasopressin V2 receptor antagonist that produces effective aquaresis, and its use in ALS patients has not been previously reported. A 50-year-old male ALS patient was admitted because of both generalized edema and dilutional hyponatremia. These manifestations were refractory to conventional diuretics and fluid therapy, but a very brisk diuresis was induced by tolvaptan administration. Edema and hyponatremia were also improved, and the patient was able to be discharged without tolvaptan. In this case report, we postulate how edema and dilutional hyponatremia developed in the patient, and discuss the mechanism of tolvaptan in treating hypervolemic hyponatremia. Further experience is necessary to evaluate the usefulness of tolvaptan in patients with neurological disorders.

Keywords: Amyotrophic lateral sclerosis; Diuresis; Edema; Hyponatremia; Tolvaptan.

PubMed Disclaimer

Conflict of interest statement

Conflict of interest: The authors declare no relevant financial interests.

Figures

Fig. 1
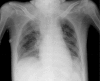
Fig. 1. Chest X-ray findings. Partial atelectasis in the lower lobes of both lungs is shown.
Fig. 2
Fig. 2. Clinical course during the admission. Changes in serum sodium concentration and daily urine volume in response to intravenous fluids, diuretics, and tolvaptan are presented.

References

    1. Miller RG, Jackson CE, Kasarskis EJ, England JD, Forshew D, Johnston W, Kalra S, Katz JS, Mitsumoto H, Rosenfeld J, Shoesmith C, Strong MJ, Woolley SC Quality Standards Subcommittee of the American Academy of Neurology. Practice parameter update: the care of the patient with amyotrophic lateral sclerosis: multidisciplinary care, symptom management, and cognitive/behavioral impairment (an evidence-based review): report of the Quality Standards Subcommittee of the American Academy of Neurology. Neurology. 2009;73:1227–1233. - PMC - PubMed
    1. Jackson CE, McVey AL, Rudnicki S, Dimachkie MM, Barohn RJ. Symptom Management and End-of-Life Care in Amyotrophic Lateral Sclerosis. Neurol Clin. 2015;33:889–908. - PMC - PubMed
    1. Oey PL, Vos PE, Wieneke GH, Wokke JH, Blankestijn PJ, Karemaker JM. Subtle involvement of the sympathetic nervous system in amyotrophic lateral sclerosis. Muscle Nerve. 2002;25:402–408. - PubMed
    1. Inoue Y, Murakami T, Nakamura T, Morita K, Kaneda D, Nishino I, Hayashi T, Shinoto Y, Hatoko T, Kato T, Yonemitsu S, Muro S, Oki S. Syndrome of inappropriate antidiuretic hormone secretion associated with amyotrophic lateral sclerosis in a patient developing carbon dioxide narcosis. Intern Med. 2017;56:797–803. - PMC - PubMed
    1. Yoshida Y, Kato B, Mizushima Y, Arai N, Matsui S, Maruyama M, Kobayashi M. Syndrome of inappropriate secretion of antidiuretic hormone associated with amyotrophic lateral sclerosis in respiratory failure. Respirology. 1999;4:185–187. - PubMed

Publication types

LinkOut - more resources