Endoscopic Management of Developmental Anomalies of the Skull Base
- PMID: 29404236
- PMCID: PMC5796817
- DOI: 10.1055/s-0037-1615815
Endoscopic Management of Developmental Anomalies of the Skull Base
Abstract
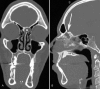
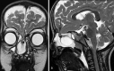
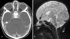
Developmental anomalies of the skull base may present in childhood or as an adult. The most common pathologies include dermoid, encephalocele, and glioma. Encephaloceles may present as part of a syndrome. Other entities include infantile hemangiomas and teratoma. Endoscopic techniques provide a less invasive and morbid option for treatment. Proper evaluation and treatment is necessary to prevent complications such as meningitis.
Keywords: dermoid encephalocele; developmental; glioma; teratoma.
Conflict of interest statement
Figures




References
-
- Banu M A, Guerrero-Maldonado A, McCrea H J et al.Impact of skull base development on endonasal endoscopic surgical corridors. J Neurosurg Pediatr. 2014;13(02):155–169. - PubMed
-
- Tatreau J R, Patel M R, Shah R N et al.Anatomical considerations for endoscopic endonasal skull base surgery in pediatric patients. Laryngoscope. 2010;120(09):1730–1737. - PubMed
-
- Stapleton A L, Tyler-Kabara E C, Gardner P A, Snyderman C H, Wang E W. Risk factors for cerebrospinal fluid leak in pediatric patients undergoing endoscopic endonasal skull base surgery. Int J Pediatr Otorhinolaryngol. 2017;93:163–166. - PubMed
-
- Kassam A, Thomas A J, Snyderman Cet al.Fully endoscopic expanded endonasal approach treating skull base lesions in pediatric patients J Neurosurg 2007106(2, Suppl)75–86. - PubMed
Publication types
LinkOut - more resources
Full Text Sources
Other Literature Sources