Erector spinae plane block as an alternative to epidural analgesia for post-operative analgesia following video-assisted thoracoscopic surgery: A case study and a literature review on the spread of local anaesthetic in the erector spinae plane
- PMID: 29416155
- PMCID: PMC5787896
- DOI: 10.4103/ija.IJA_693_17
Erector spinae plane block as an alternative to epidural analgesia for post-operative analgesia following video-assisted thoracoscopic surgery: A case study and a literature review on the spread of local anaesthetic in the erector spinae plane
Abstract
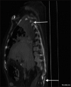
Post-operative pain after minimally invasive video-assisted thoracoscopic surgery (VATS) in adults is commonly managed with oral and parenteral opioids and invasive regional techniques such as thoracic epidural blockade. Emerging research has shown that the novel erector spinae plane (ESP) block, can be employed as a simple and safe alternative analgesic technique for acute post-surgical, post-traumatic and chronic neuropathic thoracic pain in adults. We illustrate this by presenting a paediatric case of VATS, in which an ESP block provided better analgesia, due to greater dermatomal coverage, as well as reduced side-effects when compared with a thoracic epidural that had previously been employed on the same patient for a similar procedure on the opposite side.
Keywords: Erector spine block; epidural analgesia; local anaesthetic spread; video-assisted thoracoscopic surgery.
Conflict of interest statement
There are no conflicts of interest.
Figures
References
-
- Steinthorsdottir KJ, Wildgaard L, Hansen HJ, Petersen RH, Wildgaard K. Regional analgesia for video-assisted thoracic surgery: A systematic review. Eur J Cardiothorac Surg. 2014;45:959–66. - PubMed
-
- Chin KJ, Adhikary S, Sarwani N, Forero M. The analgesic efficacy of pre-operative bilateral erector spinae plane (ESP) blocks in patients having ventral hernia repair. Anaesthesia. 2017;72:452–60. - PubMed
-
- Hamilton DL, Manickam B. Erector spinae plane block for pain relief in rib fractures. Br J Anaesth. 2017;118:474–5. - PubMed
-
- Forero M, Adhikary SD, Lopez H, Tsui C, Chin KJ. The erector spinae plane block: A Novel analgesic technique in thoracic neuropathic pain. Reg Anesth Pain Med. 2016;41:621–7. - PubMed
-
- Rawal N. Epidural technique for postoperative pain: Gold standard no more? Reg Anesth Pain Med. 2012;37:310–7. - PubMed
LinkOut - more resources
Full Text Sources
Other Literature Sources
Medical
