Skip to main page content
U.S. flag

An official website of the United States government

Dot gov

The .gov means it’s official.
Federal government websites often end in .gov or .mil. Before sharing sensitive information, make sure you’re on a federal government site.

Https

The site is secure.
The https:// ensures that you are connecting to the official website and that any information you provide is encrypted and transmitted securely.

Access keys NCBI Homepage MyNCBI Homepage Main Content Main Navigation
. 2018 Mar;15(3):3091-3099.
doi: 10.3892/ol.2017.7722. Epub 2017 Dec 29.

Investigation into metastatic processes and the therapeutic effects of gemcitabine on human pancreatic cancer using an orthotopic SUIT-2 pancreatic cancer mouse model

Affiliations

Investigation into metastatic processes and the therapeutic effects of gemcitabine on human pancreatic cancer using an orthotopic SUIT-2 pancreatic cancer mouse model

Tamami Higuchi et al. Oncol Lett. 2018 Mar.

Abstract

Prognosis of pancreatic cancer is poor, thus the development of novel therapeutic drugs is necessary. During preclinical studies, appropriate models are essential for evaluating drug efficacy. The present study sought to determine the ideal pancreatic cancer mouse model for reliable preclinical testing. Such a model could accurately reflect human pancreatic cancer phenotypes and predict future clinical trial results. Systemic pathology analysis was performed in an orthotopic transplantation model to prepare model mice for use in preclinical studies, mimicking the progress of human pancreatic cancer. The location and the timing of inoculated cancer cell metastases, pathogenesis and cause of fatality were analyzed. Furthermore, the efficacy of gemcitabine, a key pancreatic cancer drug, was evaluated in this model where liver metastasis and peritoneal dissemination occur. Results indicated that the SUIT-2 orthotopic pancreatic cancer model was similar to the phenotypic sequential progression of human pancreatic cancer, with extra-pancreatic invasion, intra-peritoneal dissemination and other hematogenous organ metastases. Notably, survival was prolonged by administering gemcitabine to mice with metastasized pancreatic cancer. Furthermore, the detailed effects of gemcitabine on the primary tumor and metastatic tumor lesions were pathologically evaluated in mice. The present study indicated the model accurately depicted pancreatic cancer development and metastasis. Furthermore, the detailed effects of pancreatic cancer drugs on the primary tumor and on metastatic tumor lesions. We present this model as a potential new standard for new drug development in pancreatic cancer.

Keywords: chemotherapy; gemcitabine; metastasis; orthotopic mouse model; pancreatic cancer; pathology; survival prolongation effects.

PubMed Disclaimer

Figures

Figure 1.
Figure 1.
Tumor progression in two orthotopic transplantation mouse models of pancreatic cancer. (A) The image shows the appearance of orthotopic xenografted Capan-1 cells in the pancreas and other abdominal organs 72 days after inoculation. (B) The image shows the appearance of orthotopic xenografted SUIT-2 cells spreading in the abdominal cavity 72 days after inoculation. (C) The survival rate of the Capan-1 and SUIT-2 models without treatment. Eight mice were used in each group.
Figure 2.
Figure 2.
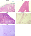
Macroscopic and microscopic Capan-1 tumors in planned-sacrificed model mice. These images show the appearance of orthotopic xenografted Capan-1 cells of the pancreas 72 days after inoculation. Capan-1 cells were not present in other organs. (Magnification: pancreas, liver and lung, ×40; spleen, ×100; mesenterium, ×50).
Figure 3.
Figure 3.
Macroscopic and microscopic SUIT-2 tumors in the model mice with end-stage pancreatic cancer. (A) Left panel shows the bloody ascites of a representative model mouse. Right panel shows the severe body weight and jaundice of a representative model mouse. (B) Macroscopic appearance of SUIT-2 tumors in the abdominal cavity and thoracic cavity of the model mice. (C) Microscopic findings of SUIT-2 tumors in the pancreas, mesenterium, liver, and lung of the model mice. (Magnification: pancreas and mesenterium, ×20; liver, ×200 and ×40; lung, ×100).
Figure 4.
Figure 4.
Microscopic SUIT-2 tumors in model mice with end-stage pancreatic cancer. (A) Tumor cells in the vascular of the lung (magnification, ×200). (B) Low power view of lymph node metastasis in the mediastinal cavity (magnification, ×40). (C) High power view of lymph node metastasis in the mediastinal cavity (magnification, ×200).
Figure 5.
Figure 5.
Macroscopic and microscopic SUIT-2 tumors in planned-sacrificed model mice. Upper panel: Macroscopic and microscopic SUIT-2 tumors in the pancreas on day 3 after inoculation (magnification, ×20). Middle panel: Macroscopic and microscopic SUIT-2 tumors in the pancreas and mesenterium surrounding the pancreas on day 7 after inoculation (magnification: left, ×40x; center, ×100; right, ×40). Lower panel: Macroscopic and microscopic SUIT-2 tumors in the pancreas, mesenterium surrounding pancreas, and liver metastasis on day 14 after inoculation (magnification: left and center left, ×100; center right, ×40; right, ×500).
Figure 6.
Figure 6.
Kaplan-Meier survival plots in the orthotopic SUIT-2-xenografted mouse model according to the starting date of gemcitabine administration. Vehicle mice group (n=20) had significantly lower overall survival than the gemcitabine day 7 group (n=10) and gemcitabine day 14 group (n=10). Vehicle vs. gemcitabine day 7 (**P=0.0017). Vehicle vs. gemcitabine day 14 (*P=0.0135). Gemcitabine day 7 vs. Gemcitabine day 14 (P=0.5359).

References

    1. Okusaka T, Matsumura Y, Aoki K. New approaches for pancreatic cancer in Japan. Cancer Chemother Pharmacol. 2004;54(Suppl 1):S78–S82. - PubMed
    1. Takahashi H, Ohigashi H, Gotoh K, Marubashi S, Yamada T, Murata M, Ioka T, Uehara H, Yano M, Ishikawa O. Preoperative gemcitabine-based chemoradiation therapy for resectable and borderline resectable pancreatic cancer. Ann Surg. 2013;258:1040–1050. doi: 10.1097/SLA.0b013e31829b3ce4. - DOI - PubMed
    1. Oberstein PE, Olive KP. Pancreatic cancer: Why is it so hard to treat? Therap Adv Gastroenterol. 2013;6:321–337. doi: 10.1177/1756283X13478680. - DOI - PMC - PubMed
    1. Gnanamony M, Gondi CS. Chemoresistance in pancreatic cancer: Emerging concepts. Oncol lett. 2017;13:2507–2513. doi: 10.3892/ol.2017.5777. - DOI - PMC - PubMed
    1. Burris HA, III, Moore MJ, Andersen J, Green MR, Rothenberg ML, Modiano MR, Cripps MC, Portenoy RK, Storniolo AM, Tarassoff P, et al. Improvements in survival and clinical benefit with gemcitabine as first-line therapy for patients with advanced pancreas cancer: A randomized trial. J Clin Oncol. 1997;15:2403–2413. doi: 10.1200/JCO.1997.15.6.2403. - DOI - PubMed