Medullary-like hepatocellular carcinoma
- PMID: 29435219
- PMCID: PMC5801604
- DOI: 10.1093/jscr/rjy010
Medullary-like hepatocellular carcinoma
Abstract
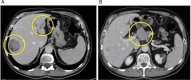
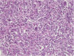
Hepatocellular carcinoma (HCC) is the most frequent primary hepatic cancer. Pathological features can define the biological behavior and prognosis. Medullary-like HCC is a very rare variant that has been described only twice in literature. In the present study, we report the case of a non-cirrhotic 72-year-old man, who presented two HCC lesions on routine screening for hepatitis C virus liver disease. Radiological imaging and biopsy showed two different subtypes: one classic HCC, which was treated with chemoembolization, and a second PET/CT-positive carcinoma with a PET/CT-positive metastatic coeliac lymph node, which was resected laparoscopically with a left lateral sectionectomy and extended lymphadenectomy. Histopathology revealed a medullary-like HCC; lymph node analysis confirmed the metastatic nature of the PET/CT-positive coeliac node and showed an incidental B-cell lymphoma in the hepatic pedicle lymph nodes. To the best of our knowledge this is the third case of medullary-like HCC described in the literature, and the first associated to a concomitant typical HCC.
Figures









References
-
- McGlynn KA, London WT. Epidemiology and natural history of hepatocellular carcinoma. Best Pract Res Clin Gastroenterol 2005;19:3–23. - PubMed
-
- Sherman M. Hepatocellular carcinoma: epidemiology, risk factors and screening. Semin Liver Dis 2005;25:143–54. - PubMed
-
- Bruix J, Sherman M. Management of hepatocellular carcinoma. Hepatology 2005;42:1208–36. - PubMed
-
- Lauwers GY, Terris B, Batts KP, Regimbeau JM, Chang Y, Graeme-Cook F, et al. . Pronostic histologic indicators of curatively resected hepatocellular carcinomas: a multi-institutional analysis of 425 patients with definition of a histologic pronostic index. Am J Surg Pathol 2002;26:25–34. - PubMed
Publication types
LinkOut - more resources
Full Text Sources
Other Literature Sources