Metastatic "Burned Out" Seminoma Causing Neurological Paraneoplastic Syndrome-Not Quite "Burned Out"
- PMID: 29441039
- PMCID: PMC5797537
- DOI: 10.3389/fneur.2018.00020
Metastatic "Burned Out" Seminoma Causing Neurological Paraneoplastic Syndrome-Not Quite "Burned Out"
Abstract
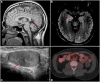
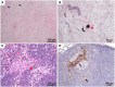
A 44-year-old man presented with cerebellar ataxia and limbic encephalitis and was ultimately diagnosed with metastatic germ cell neoplasm resulting from a "burned out" primary testicular tumor. The patient had progressive ataxia, leading to a thorough investigation for infectious, autoimmune, metabolic, and malignant causes of acquired cerebellar ataxia that revealed no significant findings. Testicular sonography demonstrated a possible right testicular lesion that was not confirmed on radical inguinal orchiectomy. F18-FDG positron emission tomography/computerized tomography scan revealed a solitary retroperitoneal lesion, concerning for metastatic disease but not amenable to percutaneous biopsy. A robotic retroperitoneal lymph node dissection was performed and pathology revealed a CD117-positive metastatic seminoma leading to appropriate germ cell tumor-directed chemotherapy. After completing chemotherapy and during 1 year of follow-up, there has been a gradual improvement of the patient's neurological manifestations.
Keywords: burned out tumor; cerebellar ataxia; germ cell tumor; limbic encephalitis; testicular cancer.
Figures


References
Publication types
LinkOut - more resources
Full Text Sources
Other Literature Sources