A thyroid storm patient with protracted disturbance of consciousness and reversible lesion in the splenium of corpus callosum: A case report
- PMID: 29443784
- PMCID: PMC5839822
- DOI: 10.1097/MD.0000000000009949
A thyroid storm patient with protracted disturbance of consciousness and reversible lesion in the splenium of corpus callosum: A case report
Abstract
Rationale: Various neurological manifestations are observed in thyroid storm patients but protracted disturbance of consciousness is rare.
Patient concerns: A 58-year-old male was admitted to our hospital after a traffic accident.
Diagnoses: Although awake on arrival, he fell into coma after admission. Based on the clinical symptoms and hyperthyroidism, the patient was diagnosed with thyroid storm (TS).
Interventions: Even after improvement of hyperthyroidism, disturbance of consciousness was protracted. Considering the possibility of immune-related etiology, methylprednisolone pulse was started.
Outcomes: His consciousness level improved over a 3-month period, and he became able to walk with some assistance after 6 months.
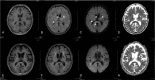
Lessons: His condition was atypical of TS-associated encephalopathy because of the long clinical course. Reversible splenial lesion was visible using brain imaging. In some cases of TS, disturbance of consciousness can be protracted for several months, but it is reversible. Therefore, it is necessary to judge the long-term neurological outcome carefully.
Conflict of interest statement
The authors have no funding and conflicts of interest to disclose.
Figures
 
              
              
              
              
                
                
                 
              
              
              
              
                
                
                References
- 
    - Swee du S, Chng CL, Lim A. Clinical characteristics and outcome of thyroid storm: a case series and review of neuropsychiatric derangements in thyrotoxicosis. Endocr Pract 2015;21:182–9. - PubMed
 
- 
    - Angell TE, Lechner MG, Nguyen CT, et al. Clinical features and hospital outcomes in thyroid storm: a retrospective cohort study. J Clin Endocrinol Metab 2015;100:451–9. - PubMed
 
- 
    - Laurent C, Capron J, Quillerou B, et al. Steroid-responsive encephalopathy associated with autoimmune thyroiditis (SREAT): characteristics, treatment and outcome in 251 cases from the literature. Autoimmun Rev 2016;15:1129–33. - PubMed
 
Publication types
MeSH terms
Substances
LinkOut - more resources
- Full Text Sources
- Other Literature Sources
- Medical
 
        