Acetabular paralabral cyst causing compression of the sciatic nerve
- PMID: 29484079
- PMCID: PMC5823297
- DOI: 10.1016/j.radcr.2017.06.010
Acetabular paralabral cyst causing compression of the sciatic nerve
Abstract
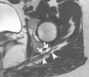
Acetabular paralabral cysts are common. They vary in their clinical presentation and may be asymptomatic or cause pain and restriction at the hip joint. In rare instances they may cause symptoms by compressing local neurovascular structures. We report a case of symptomatic compression of the sciatic nerve by a posteriorly displaced acetabular paralabral cyst.
Keywords: Acetabulum; MRI; Paralabral cyst; Sciatic nerve; Sciatica.
Figures


References
-
- Schmitz M.R., Campbell S.E., Fajardo R.S., Kadrmas W.R. Identification of acetabular labral pathological changes in asymptomatic volunteers using optimized, noncontrast 1.5-T magnetic resonance imaging. Am J Sports Med. 2012;40(6):1337–1341. - PubMed
-
- Stoller D.W. 3rd ed. Lippincott Williams & Wilkins; Baltimore, Philadelphia: 2007. Magnetic resonance imaging in orthopaedics and sports medicine, volume one lower extremity.
-
- Register B., Pennock A.T., Ho C.P., Strickland C.D., Lawand A., Philippon M.J. Prevalence of abnormal hip findings in asymptomatic participants: a prospective, blinded study. Am J Sports Med. 2012;40(12):2720–2724. - PubMed
-
- Lee K.H., Park Y.S., Lim S.J. Arthroscopic treatment of symptomatic paralabral cysts in the hip. Orthopedics. 2013;36(3):e373–6. - PubMed
Publication types
LinkOut - more resources
Full Text Sources
Other Literature Sources