Nutcracker syndrome in adolescent with perineal pain: An interesting case of an adolescent with perineal pain due to pelvic congestion from nutcracker syndrome with relief after balloon venoplasty and sclerotherapy
- PMID: 29487651
- PMCID: PMC5826734
- DOI: 10.1016/j.radcr.2017.09.023
Nutcracker syndrome in adolescent with perineal pain: An interesting case of an adolescent with perineal pain due to pelvic congestion from nutcracker syndrome with relief after balloon venoplasty and sclerotherapy
Abstract
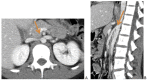
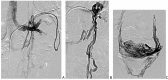
Nutcracker phenomenon is the descriptor for a patient's anatomy whenever the left renal vein becomes compressed between the abdominal aorta and the superior mesenteric artery. Nutcracker syndrome is the terminology used when the nutcracker phenomenon is accompanied by symptoms including pain (abdominal, flank, pelvic), hematuria, and orthostatic proteinuria. Diagnosis can be made with Doppler ultrasound, venography, computed tomography, or magnetic resonance imaging. This case demonstrates some of the typical findings of nutcracker syndrome. The limited clinical features and interesting imaging findings, in addition to the young age of the patient, make this a notable case.
Keywords: Nutcracker syndrome; Pediatric; Pelvic congestion syndrome; Pelvic pain; Sclerotherapy; Venoplasty.
Figures






References
-
- Chait A., Matasar K.W., Fabian C.E., Mellins H.Z. Vascular impressions on the ureters. Am J Roentgenol Radium Ther Nucl Med. 1977;111(4):729–749. PMID: 5103904. - PubMed
Publication types
LinkOut - more resources
Full Text Sources
Other Literature Sources