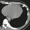
Epipericardial fat necrosis: increasing the rate of diagnosis by disseminating knowledge within a single institution
- PMID: 29540948
- PMCID: PMC5844445
- DOI: 10.1590/0100-3984.2016.0095
Epipericardial fat necrosis: increasing the rate of diagnosis by disseminating knowledge within a single institution
Figures


References
-
- Giassi KS, Costa AN, Bachion GH, et al. Epipericardial fat necrosis: who should be a candidate? AJR Am J Roentgenol. 2016;28:1–5. - PubMed
-
- Pineda V, Cáceres J, Andreu J, et al. Epipericardial fat necrosis: radiologic diagnosis and follow-up. AJR Am J Roentgenol. 2005;185:1234–1236. - PubMed
-
- Diamond GA. A clinically relevant classification of chest discomfort. Pt 1J Am Coll Cardiol. 1983;1(2):574–575. - PubMed
LinkOut - more resources
Full Text Sources
Other Literature Sources