Anatomic Malformations of the Middle and Inner Ear in 22q11.2 Deletion Syndrome: Case Series and Literature Review
- PMID: 29545254
- PMCID: PMC7410659
- DOI: 10.3174/ajnr.A5588
Anatomic Malformations of the Middle and Inner Ear in 22q11.2 Deletion Syndrome: Case Series and Literature Review
Abstract
Background and purpose: The 22q11.2 deletion syndrome is characterized by a heterogenic phenotype, including hearing loss. The underlying cause of hearing loss, especially sensorineural hearing loss, is not yet clear. Therefore, our objective was to describe anatomic malformations in the middle and inner ear in patients with 22q11.2 deletion syndrome.
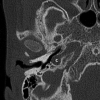
Materials and methods: A retrospective case series was conducted in 2 tertiary referral centers. All patients with 22q11.2 deletion syndrome who had undergone CT or MR imaging of the temporal bones were included. Radiologic images were evaluated on predetermined parameters, including abnormalities of the ossicular chain, cochlea, semicircular canals, and vestibule.
Results: There were 26 patients (52 ears) with a CT or MR imaging scan available. A dense stapes superstructure was found in 18 ears (36%), an incomplete partition type II was suspected in 12 cochleas (23%), the lateral semicircular canal was malformed with a small bony island in 17 ears (33%), and the lateral semicircular canal and vestibule were fused to a single cavity in 15 ears (29%).
Conclusions: Middle and inner ear abnormalities were frequently encountered in our cohort, including malformations of the lateral semicircular canal.
© 2018 by American Journal of Neuroradiology.
Figures
 
              
              
              
              
                
                
                 
              
              
              
              
                
                
                 
              
              
              
              
                
                
                 
              
              
              
              
                
                
                 
              
              
              
              
                
                
                 
              
              
              
              
                
                
                References
Publication types
MeSH terms
Grants and funding
LinkOut - more resources
- Full Text Sources
- Other Literature Sources
 
        