Hot Tub Lung: An Intriguing Diffuse Parenchymal Lung Disease
- PMID: 29622826
- PMCID: PMC5870233
- DOI: 10.4314/gmj.v51i3.8
Hot Tub Lung: An Intriguing Diffuse Parenchymal Lung Disease
Abstract
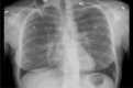
In pulmonary medicine, identical pathogenesis due to varied etiological agents can present with indistinguishable clinical presentation, and produce similar laboratory and radiological changes. The importance of eliciting detailed occupational and social history from patients cannot be stressed enough when dealing with patients suffering from diffuse parenchymal lung diseases. Hot Tub Lung(HTL) is a perplexing pulmonary disease attributed to the Mycobacterium Avium-intracellulare Complex (MAC). MAC is a ubiquitous atypical mycobacterium present in moist environment, and is not considered pathogenic, without the predisposing conditions like immunosuppression. However, HTL is a unique disease seen in healthy individuals following the exposure to contaminated hot water in spas. The less virulent MAC will, in healthy individual will elicit mild granulomatous inflammation particularly around the peribronchiolar region, which leads to the development of diffuse parenchymal lung. We report a case of HTL to increase the awareness of this rare and enigmatic disease among medical professionals, and to reiterate the importance of eliciting social and occupational details in clinical practice.
Keywords: Atypical Mycobacterium; Hot Tube Lung; Hypersensitivity Pneumonitis; Mycobacterium Avium-intracellulare Complex (MAC).
Conflict of interest statement
Conflict of interest: None declared
Figures



References
-
- Kahana LM, Kay JM, Yakrus MA, Waserman S. Mycobacterium avium complex infection in an immunocompetent young adult related to hot tub exposure. Chest. 1997 Jan;111(1):242–245. - PubMed
-
- Hanak V, Kalra S, Aksamit TR, Hartman TE, Tazelaar HD, Ryu JH. Hot tub lung: presenting features and clinical course of 21 patients. Respir Med. 2006;100(4):610–615. - PubMed
-
- Falkinham JO., III Surrounded by mycobacteria: nontuberculous mycobacteria in the human environment. J Appl Microbiol. 2009 Aug;107(2):356–367. - PubMed
Publication types
MeSH terms
Substances
LinkOut - more resources
Full Text Sources