Skip to main page content
U.S. flag

An official website of the United States government

Dot gov

The .gov means it’s official.
Federal government websites often end in .gov or .mil. Before sharing sensitive information, make sure you’re on a federal government site.

Https

The site is secure.
The https:// ensures that you are connecting to the official website and that any information you provide is encrypted and transmitted securely.

Access keys NCBI Homepage MyNCBI Homepage Main Content Main Navigation
Case Reports
. 2018 Mar 19:18:ic7.
eCollection 2018.

Multiple Peripheral Schwannomas

Affiliations
Case Reports

Multiple Peripheral Schwannomas

Cara M Barber et al. Eplasty. .
No abstract available

Keywords: median nerve; nerve sheath tumor; schwannoma; schwannomatosis; upper extremity.

PubMed Disclaimer

Figures

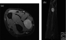
Figure 1
Figure 1
Axial T2 (a) and coronal STIR (b) MRI of the right distal forearm showing a well-circumscribed mass with hyperintense signal. The median nerve is seen in the coronal view with displacement of adjacent tissues.
Figure 2
Figure 2
Axial T2 (a) and coronal STIR (b) MRI of the right proximal forearm with a hyperintense, well-circumscribed mass within the flexor digitorum profundus.
Figure 3
Figure 3
Schwannoma involving the median nerve in the distal forearm. Note the intraneural location of the tumor.
Figure 4
Figure 4
Schwannoma removed from the median nerve in the distal forearm. With careful dissection, the encapsulated tumor can be removed from the surrounding nerve fascicles.

References

    1. Abreu I, Roriz D, Rodrigues P, Moreira A, Marques C, Alves FC. Schwannoma of the tongue—a common tumour in a rare location: a case report. Eur J Radiol Open. 2017;4:1–3. - PMC - PubMed
    1. National Human Genome Research Institute. Learning about neurofibromatosis. Available at https://www.genome.gov/14514225/learning-about-neurofibromatosis. Accessed October 3, 2017.
    1. Padasali PS, Shankaregowda VS, Kshirsagar SD. Median nerve schwannoma: a case and review of literature. Asian J Neurosurg. 2015;10(3):212–5. - PMC - PubMed
    1. Children's Tumor Foundation. About schwannomatosis. http://www.ctf.org/understanding-nf/schwannomatosis. Accessed October 3, 2017.
    1. Levi AD, Ross AL, Cuartas E, Qadir R, Temple HT. The surgical management of symptomatic peripheral nerve sheath tumors. Neurosurgery. 2010;66(4):833–40. - PubMed

Publication types

LinkOut - more resources