Nipah Virus Infection
- PMID: 29643201
- PMCID: PMC5971524
- DOI: 10.1128/JCM.01875-17
Nipah Virus Infection
Abstract
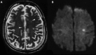
Nipah virus, a paramyxovirus related to Hendra virus, first emerged in Malaysia in 1998. Clinical presentation ranges from asymptomatic infection to fatal encephalitis. Malaysia has had no more cases since 1999, but outbreaks continue to occur in Bangladesh and India. In the Malaysia-Singapore outbreak, transmission occurred primarily through contact with pigs, whereas in Bangladesh and India, it is associated with ingestion of contaminated date palm sap and human-to-human transmission. Bats are the main reservoir for this virus, which can cause disease in humans and animals. There are currently no effective therapeutics, and supportive care and prevention are the mainstays of management.
Keywords: Nipah; encephalitis; outbreaks.
Copyright © 2018 American Society for Microbiology.
Figures


References
-
- Tan KS, Tan CT, Goh KJ. 1999. Epidemiological aspects of Nipah virus infection. Neurol J South East Asia 4:77–81.
-
- Thongcharoen P. 1989. Japanese encephalitis virus encephalitis: an overview. Southeast Asian J Trop Med Public Health 20:559–573. - PubMed
-
- Looi LM, Chua KB. 2007. Lessons from the Nipah virus outbreak in Malaysia. Malays J Pathol 29:63–67. - PubMed
Publication types
MeSH terms
LinkOut - more resources
Full Text Sources
Other Literature Sources
Miscellaneous