Rectal leiomyoma, a rare entity
- PMID: 29657702
- PMCID: PMC5890090
- DOI: 10.4081/cp.2018.1053
Rectal leiomyoma, a rare entity
Abstract
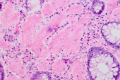
Rectal tumors are often encountered as an incidental finding on screening colonoscopy. As per the World Health Organization, they are categorized according to their histologic appearance. These include epithelial tumors, mesenchymal tumors and lymphomas. Of interest, in our case, are mesenchymal tumors. These are sub-classified into leiomyomas and gastrointestinal stromal tumors. Our case is a 33-year old male who was diagnosed with a rectal leiomyoma. The uncommon incidence and subsequent management of a rectal leiomyoma in a male, make this case worthy for literature review.
Keywords: Leiomyoma; diarrhea; fibromyoma; hematochezia; rectal tumor.
Conflict of interest statement
Conflict of interest: the authors declare no conflict of interest.
Figures



References
-
- Serra J, Ruiz M, Lloveras B, et al. Surgical outlook regarding leiomyoma of the rectum. Report of three cases. Dis Colon Rectum 1989;32:884-7. - PubMed
-
- Kusminsky RE, Bailey W. Leiomyomas of the rectum and anal canal: report of six cases and review of the literature. Dis Colon Rectum 1977;20:580-99. - PubMed
-
- Ryan DP, Comptom CC, Mayer RJ. Carcinoma of the anal canal. N Engl J Med 2000;342:792-800. - PubMed
-
- Sasaki K, Gotoh Y, Nakayama Y, et al. Leiomyoma of the rectum. Int Surg 1985;70:149-52. - PubMed
-
- Fasih N, Prasad Shanbhogue AK, Macdonald DB, et al. Leiomyomas beyond the uterus: unusual locations, rare manifestations. Radiographics 2008;28:1931-48. - PubMed
LinkOut - more resources
Full Text Sources
Other Literature Sources
Research Materials