Reverse total shoulder arthroplasty
- PMID: 29657846
- PMCID: PMC5890133
- DOI: 10.1302/2058-5241.3.170044
Reverse total shoulder arthroplasty
Abstract
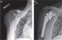
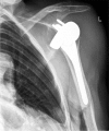
Since the introduction of reverse total shoulder arthroplasty (RTSA) in 1987 (in Europe) and 2004 (in the United States), the number of RTSAs performed annually has increased.Although the main indication for RTSA has been rotator cuff tears, indications have expanded to include several shoulder conditions, many of which involve dysfunction of the rotator cuff.RTSA complications have been reported to affect 19% to 68% of patients and include acromial fracture, haematoma, infection, instability, mechanical baseplate failure, neurological injury, periprosthetic fracture and scapular notching.Current controversies in RTSA include optimal baseplate positioning, humeral neck-shaft angle (135° versus 155°), glenosphere placement (medial, lateral or bony increased offset RTSA) and subscapularis repair.Improvements in prosthesis design, surgeon experience and clinical results will need to occur to optimize this treatment for many shoulder conditions. Cite this article: EFORT Open Rev 2018;3:58-69 DOI: 10.1302/2058-5241.3.170044.
Keywords: clinical outcomes; complications; contraindications; indications; reverse total shoulder arthroplasty.
Conflict of interest statement
ICMJE Conflict of interest statement: E. McFarland reports personal fees from Stryker; grants from DePuy Mitek, activity outside the submitted work.
Figures
 
              
              
              
              
                
                
                 
              
              
              
              
                
                
                 
              
              
              
              
                
                
                 
              
              
              
              
                
                
                 
              
              
              
              
                
                
                 
              
              
              
              
                
                
                 
              
              
              
              
                
                
                 
              
              
              
              
                
                
                 
              
              
              
              
                
                
                 
              
              
              
              
                
                
                 
              
              
              
              
                
                
                 
              
              
              
              
                
                
                References
- 
    - Bohsali KI, Wirth MA, Rockwood CA., Jr Complications of total shoulder arthroplasty. J Bone Joint Surg [Am] 2006;88:2279-92. - PubMed
 
- 
    - Papadonikolakis A, Neradilek MB, Matsen FA., III Failure of the glenoid component in anatomic total shoulder arthroplasty: A systematic review of the English-language literature between 2006 and 2012. J Bone Joint Surg [Am] 2013;95:2205-12. - PubMed
 
- 
    - Torchia ME, Cofield RH, Settergren CR. Total shoulder arthroplasty with the Neer prosthesis: long-term results. J Shoulder Elbow Surg 1997;6:495-505. - PubMed
 
- 
    - Sanchez-Sotelo J, Cofield RH, Rowland CM. Shoulder hemiarthroplasty for glenohumeral arthritis associated with severe rotator cuff deficiency. J Bone Joint Surg [Am] 2001;83-A:1814-22. - PubMed
 
- 
    - Grammont P, Trouilloud P, Laffay J, Deries X. Concept study and realization of a new total shoulder prosthesis [in French]. Rhumatologie 1987;39:407-18.
 
LinkOut - more resources
- Full Text Sources
- Other Literature Sources
 
        