Skip to main page content
U.S. flag

An official website of the United States government

Dot gov

The .gov means it’s official.
Federal government websites often end in .gov or .mil. Before sharing sensitive information, make sure you’re on a federal government site.

Https

The site is secure.
The https:// ensures that you are connecting to the official website and that any information you provide is encrypted and transmitted securely.

Access keys NCBI Homepage MyNCBI Homepage Main Content Main Navigation
Case Reports
. 2017 Dec 12:28:306.
doi: 10.11604/pamj.2017.28.306.13696. eCollection 2017.

La grossesse hétérotopique spontanée: à propos de deux cas: Spontaneous heterotopic pregnancy: about 2 cases

[Article in French]
Affiliations
Case Reports

La grossesse hétérotopique spontanée: à propos de deux cas: Spontaneous heterotopic pregnancy: about 2 cases

[Article in French]
Ahmed Guennoun et al. Pan Afr Med J. .

Abstract

Heterotopic pregnancy is defined as the coexistence of intrauterine pregnancy (IP) and ectopic pregnancy (EP), regardless of its location. It is a type of bi-ovular dizygotic twin pregnancy, its occurrence in a spontaneous cycle is rare. This is a rare and serious pathology which may compromise maternal prognosis. We report two cases of heterotopic pregnancy treated in the Department of Gynecology and Obstetrics I at the University Hospital Hassan II of Fez, over a one-year period. Clinical, ecographic and therapeutic data of this pathology were reported. Pelvic pain was the main reason for consultation. The diagnosis of heterotopic pregnancy was suspected on ultrasound in both cases. The first patient underwent conservative treatment by laparoscopy while the second patient underwent salpingectomy by mini-transverse laparotomy. IP outcome was favorable both cases.

La grossesse hétérotopique est définie par la coexistence d'une grossesse intrautérine (GIU) et d'une grossesse extra-utérine (GEU), quelle que soit sa localisation. C'est une forme de la grossesse gémellaire dizygote bi-ovulaire, sa survenue sur un cycle spontané est rare. C'est une pathologie rare et grave qui peut parfois mettre en jeu le pronostic vital maternel. Nous rapportons deux observations de patientes qui ont bénéficié d'une prise en charge pour une grossesse hétérotopique au Service de Gynécologie-obstétrique I, CHU Hassan II de Fès, sur une période d'une année. Nous avons rapporté les données cliniques, échographiques ainsi que la prise en charge thérapeutique de cette pathologie. La douleur pelvienne était le motif de consultation principal. Le diagnostic de grossesse hétérotopique a été suspecté à l'échographie pour les deux cas. Le traitement réalisé était un traitement conservateur par voie coelioscopique pour le premier et une salpingectomie par mini-laparotomie transverse pour le deuxième. L'évolution de la GIU était favorable dans les deux cas.

Keywords: Heterotopic pregnancy; coelioscopy; pregnancy prognosis.

PubMed Disclaimer

Figures

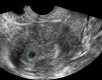
Figure 1
Figure 1
Echographie de la grossesse intra-utérine
Figure 2
Figure 2
Image échogène hétérogène en faveur d'un hématosalpinx
Figure 3
Figure 3
Echographie des deux corps jaunes
Figure 4
Figure 4
Image coelioscopique montrant l'hématosalpinx droit avec les 2 corps jaunes
Figure 5
Figure 5
Image coelioscopique après évacuation de la GEU

References

    1. Dimitry ES, Subak-Sharpe R, Mills M, Margara R, Winston R. Nine cases of heterotopic pregnancies in 4 years of in vitro fertilization. FertilSteril. 1990;53(1):107–10. - PubMed
    1. Ousehal A, Mamouchi H, Ghazli M, Kadiri R. Grossesse hétérotopique: intérêt de l'échographie sus pubienne (à propos d'un cas) J Radiol. 2001;82(7):851–3. - PubMed
    1. Laghazaoui Boukaidi M, Bouhya S, Sefrioui O, Bennani O, Hermas S, Aderdour M. Grossesse hétérotopique: à propos de huit cas. Gynecol Obstet Fertil. 2002;30(3):218–23. - PubMed
    1. Jibodu OA, Darne FJ. Spontaneous heterotopic pregnancy presenting with tubal rupture. Hum Reprod. 1997;12:1098–9. - PubMed
    1. Tal J, Haddad S, Gordon N, Timor-Tritsch I. Heterotopic pregnancy after ovulation induction and assisted reproductive technologies: a literature review from 1971 to 1993. Fertil Steril. 1996 Jul;66(1):1–12. - PubMed

Publication types

LinkOut - more resources