Water slide injuries in Jamaica
- PMID: 29766055
- PMCID: PMC5891714
- DOI: 10.1136/tsaco-2016-000008
Water slide injuries in Jamaica
Abstract
Background: Patients are presented in this study to describe injuries, each of which have not been previously described in the literature, as a result of a specific mechanism of injury on a water slide. Some of these injuries are potentially fatal and are usually the result of a very high energy mechanism of injury. All injuries occurred in a 6-week time span in the summer of 2015.
Method: Injuries arising from water slides and their definitive treatment were documented. All of the cases presented to Saint Ann's Bay Hospital in Saint Ann's Bay, Jamaica. The mechanism of injury was analyzed with a view to implement preventative measures.
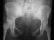
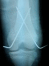
Results: Three cases had open book pelvic injuries and one of them also had a vaginal tear. All of the open book injuries occurred after the patron's thighs violently abducted despite adhering to the recommended starting position that suggested patrons cross their legs. The fourth case was of a 25-year-old man who sustained a posterior shoulder dislocation as a result of his arms flailing despite attempting to adhere to the rule recommending that the patron place his arms across his chest. The final case was of a 14-year-old boy who was involved in an atypical collision injury, resulting in the boy sustaining a displaced distal femoral fracture.
Conclusions: Modern water slides will expose patrons to more frequent and severe injuries from atypical mechanisms of injuries. Risk factors for injury must be factored into preventative measures. Improved surveillance strategies to monitor these injuries are suggested.
Keywords: Accident Prevention; dislocation; orthopaedic injury; pelvis.
Conflict of interest statement
Competing interests: None declared.
Figures






References
-
- Soyuncu S, Yigit O, Eken C, et al. . Waterpark injuries. Ulus Travma Acil Cerrahi Derg 2009;15:500–4. - PubMed
-
- Malpass CA Jr, Schuman SH, Sobcyk R. Waterslide injuries. Ann Emerg Med 1981;10:36 doi:10.1016/S0196-0644(81)80237-5 - DOI - PubMed
-
- Paulozzi LJ, Mcknight B, Marks SD. A cluster of injuries at a water slide in Washington State. Am J Public Health 1986;76:284–5. doi:10.2105/AJPH.76.3.284 - DOI - PMC - PubMed
-
- Blitvich JD, McElroy GK. Waterslide exit velocities, user behaviors and injury prevention. Int J Inj Contr Saf Promot 2007;14:54–6. doi:10.1080/17457300600935163 - DOI - PubMed
-
- Centres for Disease Control. Injuries at a water slide-Washington. MMWR Morb Mortal Wkly Rep 1984;33:379–87. - PubMed
LinkOut - more resources
Full Text Sources
Other Literature Sources