Case report on pathogenetic link between gluten and IgA nephropathy
- PMID: 29769033
- PMCID: PMC5956757
- DOI: 10.1186/s12876-018-0792-0
Case report on pathogenetic link between gluten and IgA nephropathy
Abstract
Background: A relationship between IgA nephropathy (IgAN) and celiac disease (CD) has been reported. We show the pathogenetic link for the first time.
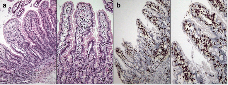
Case presentation: A 39-year-old man with cystic fibrosis (CF) and CF-related diabetes started to present gross hematuria, back pain and headache. At admission, laboratory analysis showed increase in serum creatinine of 1.5 mg/dl, together with hematuria and mild proteinuria (1 g/24 h). He underwent a renal biopsy to investigate the cause of hematuria and renal failure. Biopsy was consistent with IgAN. In view of patient reported dyspepsia, an upper gastrointestinal endoscopy with duodenal biopsies was undertaken and was normal. We looked for mucosal deposits of tTG-2 in the duodenum and the renal mesangium. tTG-2 deposits were found both in the duodenum and in renal biopsies, where they topographically replicated mesangial IgA deposits. After one year on a continued gluten containing diet, the patient developed a Marsh 2 type duodenal pathology.
Conclusions: Our findings suggest a connection between CD and IgAN in terms of an immune-mediated gluten-induced pathogenesis even in the absence of villous atrophy and serum celiac autoantibodies.
Keywords: Celiac disease; IGA nephropathy; Immunofluorescence technique; Pathogenesis; Tissue transglutaminase.
Conflict of interest statement
Ethics approval and consent to participate
Not applicable.
Consent for publication
Written informed consent for publication of clinical details and clinical images was obtained from the patient.
Competing interests
The authors declare that they have no competing interests.
Publisher’s Note
Springer Nature remains neutral with regard to jurisdictional claims in published maps and institutional affiliations.
Figures



References
-
- Coppo R, Amore A, Roccatello D. Dietary antigens and primary immunoglobulin A nephropathy. J Am Soc Nephrol. 1992;2(Suppl 10):S173–S180. - PubMed
-
- Papista C, Lechner S, Ben Mkaddem S, LeStang MB, Abbad L, Bex-Coudrat J, Pillebout E, Chemouny JM, Jablonski M, Flamant M, Daugas E, Vrtovsnik F, Yiangou M, Berthelot L, Monteiro RC. Gluten exacerbates IgA nephropathy in humanized micethrough gliadin-CD89 interaction. Kidney Int. 2015;88(2):276–285. doi: 10.1038/ki.2015.94. - DOI - PubMed
Publication types
MeSH terms
Substances
LinkOut - more resources
Full Text Sources
Other Literature Sources
Medical
Miscellaneous