Periosteal pseudotumor in complex total knee arthroplasty resembling a neoplastic process
- PMID: 29785392
- PMCID: PMC5958409
- DOI: 10.5312/wjo.v9.i5.72
Periosteal pseudotumor in complex total knee arthroplasty resembling a neoplastic process
Abstract
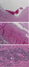
This case report describes in detail an erosive distal diaphyseal pseudotumor that occurred 6 years after a complex endoprosthetic hinge total knee arthroplasty (TKA). A female patient had conversion of a knee fusion to an endoprosthetic hinge TKA at the age of 62. At her scheduled 6-year follow-up, she presented with mild distal thigh pain and radiographs showing a 6-7 cm erosive lytic diaphyseal lesion that looked very suspicious for a neoplastic process. An en bloc resection of the distal femur and femoral endoprosthesis was performed. Histologic review showed the mass to be a pseudotumor with the wear debris emanating from within the femoral canal due to distal stem loosening. We deduce that mechanized stem abrasion created microscopic titanium alloy particles that escaped via a small diaphyseal crack and stimulated an inflammatory response resulting in a periosteal erosive pseudotumor. The main lesson of this report is that, in the face of a joint replacement surgery of the knee, pseudotumor formation is a more likely diagnosis than a neoplastic process when encountering an expanding bony mass. Thus, a biopsy prior to en bloc resection, would be our recommended course of action any time a suspicious mass is encountered close to a TKA.
Keywords: Loose implant; Metallic wear debris; Pseudotumor; Total knee arthroplasty.
Conflict of interest statement
Conflict-of-interest statement: The authors of the study have no potential conflict of interest to declare.
Figures
References
Publication types
LinkOut - more resources
Full Text Sources
Other Literature Sources
Research Materials
