Malignant Shamblin III Carotid Body Tumors Resected with Use of the Retrocarotid Dissection Technique in 2 Patients
- PMID: 29844741
- PMCID: PMC5940292
- DOI: 10.14503/THIJ-16-6142
Malignant Shamblin III Carotid Body Tumors Resected with Use of the Retrocarotid Dissection Technique in 2 Patients
Abstract
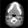
Carotid body tumors are rare neoplasms with malignant potential in 6% to 12.5% of cases, and surgical resection is the only cure. We present the cases of 2 female patients who had expanding, painless, right-sided neck masses; computed tomographic angiograms revealed Shamblin III tumors at the carotid bifurcation. Each patient underwent tumor resection with use of the retrocarotid dissection technique. The tumor specimens were histologically consistent with malignancy, and free margins were achieved. The patients remained free of symptoms, local recurrence, and metastasis 44 and 19 months after their respective procedures. These are the first malignant Shamblin III carotid body tumors that we have resected by means of retrocarotid dissection. In addition to our patients' cases, we discuss carotid body tumors and compare the retrocarotid and standard caudocranial resection techniques.
Keywords: Carotid arteries/surgery; body/anatomy & histology/physiology; carotid body tumor/classification/diagnosis/etiology/pathology/surgery; disease-free survival; female; head and neck neoplasms/classification/pathology/surgery; paraganglioma, extra-adrenal/pathology; treatment outcome; vascular surgical procedures.
Figures




References
-
- Baysal BE, Ferrell RE, Willett-Brozick JE, Lawrence EC, Myssiorek D, Bosch A, . et al. Mutations in SDHD, a mitochondrial complex II gene, in hereditary paraganglioma. Science 2000; 287 5454: 848–51. - PubMed
-
- Shamblin WR, ReMine WH, Sheps SG, Harrison EG Jr.. Carotid body tumor (chemodectoma). Clincopathologic analysis of ninety cases. Am J Surg 1971; 122 6: 732–9. - PubMed
-
- Knight TT Jr, Gonzalez JA, Rary JM, Rush DS.. Current concepts for the surgical management of carotid body tumor. Am J Surg 2006; 191 1: 104–10. - PubMed
-
- Zeng G, Zhao J, Ma Y, Huang B.. Use of an intraoperative shunt for easy resection of complicated carotid body tumors. Head Neck 2013; 35 1: 61–4. - PubMed
-
- Zhang WC, Cheng JP, Li Q, Zhang L, Wang XD, Anniko M.. Clinical and pathological analysis of malignant carotid body tumour: a report of nine cases. Acta Otolaryngol 2009; 129 11: 1320–5. - PubMed
Publication types
MeSH terms
LinkOut - more resources
Full Text Sources
Other Literature Sources