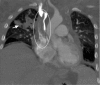
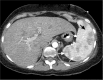
Caught in the Act: Paradoxical Emboli
- PMID: 29844749
- PMCID: PMC5940280
- DOI: 10.14503/THIJ-16-5998
Caught in the Act: Paradoxical Emboli
Figures




References
-
- Chaturvedi S. Coagulation abnormalities in adults with cryptogenic stroke and patent foramen ovale. J Neurol Sci 1998; 160 2: 158–60. - PubMed
-
- Donti A, Giardini A, Formigari R, Bronzetti G, Prandstraller D, Bonvicini M, Picchio FM.. Treatment of recurrent stroke and pulmonary thromboembolism with percutaneous closure of a patent foramen ovale and placement of inferior vena cava filter. Catheter Cardiovasc Interv 2003; 58 3: 413–5. - PubMed
-
- Schuchlenz HW, Weihs W, Horner S, Quehenberger F.. The association between the diameter of a patent foramen ovale and the risk of embolic cerebrovascular events. Am J Med 2000; 109 6: 456–62. - PubMed
Publication types
MeSH terms
LinkOut - more resources
Full Text Sources
Other Literature Sources
Medical