Skip to main page content
U.S. flag

An official website of the United States government

Dot gov

The .gov means it’s official.
Federal government websites often end in .gov or .mil. Before sharing sensitive information, make sure you’re on a federal government site.

Https

The site is secure.
The https:// ensures that you are connecting to the official website and that any information you provide is encrypted and transmitted securely.

Access keys NCBI Homepage MyNCBI Homepage Main Content Main Navigation
Review
. 2018 Apr;8(Suppl 1):S191-S199.
doi: 10.21037/cdt.2017.10.01.

Current status of the treatment of infrarenal abdominal aortic aneurysms

Affiliations
Review

Current status of the treatment of infrarenal abdominal aortic aneurysms

Linda J Wang et al. Cardiovasc Diagn Ther. 2018 Apr.

Abstract

Aortic aneurysms are the 13th leading cause of death in the United States. While aneurysms can occur along the entire length of the aorta, the infrarenal location is the most common. Targeted ultrasound screening has been found to be an effective and economical means of preventing aortic aneurysm rupture. The indication for repair includes either symptomatic aneurysms or aneurysms with a diameter greater than 5.4 cm. Treatment options for the repair of infrarenal aortic aneurysms are open surgical repair (OSR) and endovascular aneurysm repair (EVAR). Currently, EVAR is the primary treatment method for the repair of infrarenal aortic aneurysms due to improved short-term morbidity and mortality outcomes. This article is intended to review the current status of the management of infrarenal abdominal aortic aneurysms (AAA).

Keywords: Endovascular aneurysm repair (EVAR); computed tomography angiography (CTA); treatment of infrarenal abdominal aortic aneurysm (AAA).

PubMed Disclaimer

Conflict of interest statement

Conflicts of Interest: The authors have no conflicts of interest to declare.

Figures

Figure 1
Figure 1
Screening abdominal ultrasound in a 52-year-old female with a family history of AAA. Line A (4.3 cm) is measured in the anteroposterior (AP) dimension and line B (5.5 cm) is measured in the transverse dimension. The standard definition for an infrarenal AAA is an aortic diameter ≥3.0 cm. AAA, abdominal aortic aneurysms.
Figure 2
Figure 2
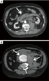
CTA of a 65-year-old gentleman who presented to the emergency department with hypotension and abdominal and back pain. (A) Axial image demonstrating peri-aortic stranding and hematoma at the level of the renal arteries (white arrow); (B) more distal axial image of the same patient in (A) with peri-aortic hematoma extending into the retroperitoneal space (white solid arrow), consistent with a ruptured AAA. The aneurysm sac measures 6.5 cm (white dashed arrow). CTA, computed tomography angiography; AAA, abdominal aortic aneurysms.
Figure 3
Figure 3
3D reconstruction obtained for pre-operative planning. The patient is a 68-year-old male and current smoker who was found to have an infrarenal AAA on screening ultrasound. AAA, abdominal aortic aneurysms.
Figure 4
Figure 4
Instructions-for-Use criteria for EVAR. It is recommended that neck diameter is between 18 and 28 mm (green line). Neck length, the distance from the lowermost renal artery to the top of the aneurysm, should be 15 mm or greater (red line). The angulation of the aneurysm neck should be less than 60 degrees to ensure adequate proximal seal (blue line). The iliac artery landing zone, also known as the distance from the aortic bifurcation to the common iliac artery bifurcation, should be at least 20 mm in length (dashed green line). The distal iliac artery landing zone diameter should be at least 7 mm and a maximum of 15 mm (dashed blue line). For most devices these are the parameters to consider when sizing endograft devices. EVAR, endovascular aneurysm repair.
Figure 5
Figure 5
Factors that guide the surgical approach for the repair of AAAs. AAA, abdominal aortic aneurysms; EVAR, endovascular aneurysm repair.
Figure 6
Figure 6
Classification of endoleaks following EVAR. Type II endoleaks, which are defined as retrograde filling of the aneurysm sac via branch vessels, are the most common and constitute 80% of all endoleaks. EVAR, endovascular aneurysm repair.
Figure 7
Figure 7
Post-operative surveillance following AAA repair. (A) CTA of a 72-year-old gentleman who underwent endovascular stent graft repair of an infrarenal AAA. Post-operative surveillance imaging revealed a type II endoleak via a feeding lumbar artery. He subsequently underwent endoleak treatment with a liquid embolic agent. Beam hardening artifact seen on CTA as a result of the embolization therapy (white arrow). (B) MRA of a 68-year-old male who underwent an EVAR for an asymptomatic infrarenal AAA. Post-operative surveillance imaging revealed a persistent type II endoleak via a feeding lumbar artery (solid white arrow). The aneurysm sac filling with contrast is also demonstrated (dashed white arrow). MRA, magnetic resonance angiography; AAA, abdominal aortic aneurysms; EVAR, endovascular aneurysm repair.

References

    1. Aggarwal S, Malik D. Clinical impact of USPSTF screening recommendations for abdominal aortic aneurysm: analysis of Nationwide Inpatient Sample data. Int J Cardiol 2015;195:77-8. 10.1016/j.ijcard.2015.05.063 - DOI - PubMed
    1. McPhee JT, Hill JS, Eslami MH. The impact of gender on presentation, therapy, and mortality of abdominal aortic aneurysm in the United States, 2001-2004. J Vasc Surg 2007;45:891-9. 10.1016/j.jvs.2007.01.043 - DOI - PubMed
    1. Holt P, Thompson MM. Abdominal aortic aneurysm, evaluation and decision making. In: Cronenwett JL, Johnston KW. editors. Rutherford’s vascular surgery. 8th ed. Philadelphia (PA): Elsevier Saunders, 2014:1999-2023.
    1. Kuivaniemi H, Elmore JR. Opportunities in abdominal aortic aneurysm research: epidemiology, genetics, and pathophysiology. Ann Vasc Surg 2012;26:862-70. 10.1016/j.avsg.2012.02.005 - DOI - PubMed
    1. Lederle FA, Johnson GR, Wilson SE, et al. Relationship of age, gender, race, and body size to infrarenal aortic diameter. The Aneurysm Detection and Management (ADAM) Veterans Affairs Cooperative Study Investigators. J Vasc Surg 1997;26:595-601. 10.1016/S0741-5214(97)70057-0 - DOI - PubMed

LinkOut - more resources