Effect of Ischemic Postconditioning and Atorvastatin in the Prevention of Remote Lung Reperfusion Injury
- PMID: 29898139
- PMCID: PMC5985836
- DOI: 10.21470/1678-9741-2017-0022
Effect of Ischemic Postconditioning and Atorvastatin in the Prevention of Remote Lung Reperfusion Injury
Abstract
Objective: The aim of the present study was to evaluate the ability of ischemic postconditioning, atorvastatin and both associated to prevent or minimize reperfusion injury in the lung of rats subjected to ischemia and reperfusion by abdominal aortic clamping.
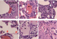
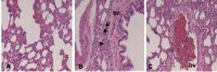
Methods: We used 41 Wistar norvegic rats, which were distributed into 5 groups: ischemia and reperfusion (I/R), ischemic postcondictioning (IPC), postconditioning + atorvastatin (IPC+A), atorvastatin (A) and SHAM. It was performed a medium laparotomy, dissection and isolation of the infra-renal abdominal aorta; except for the SHAM group, all the others were submitted to the aortic clamping for 70 minutes (ischemia) and posterior clamp removal (reperfusion, 70 minutes). In the IPC and IPC+A groups, postconditioning was performed between the ischemia and reperfusion phases by four cycles of reperfusion and ischemia lasting 30 seconds each. In the IPC+A and A groups, preceding the surgical procedure, administration of 3.4 mg/day of atorvastatin was performed for seven days by gavage. After the surgical procedure, the right caudal lobe was removed from the lung for histological study, using tissue injury score ranging from grade 1 (normal tissue) to grade 4 (intense lesion).
Results: The mean lung injury was 3.6 in the I/R group, 1.6 in the IPC group, 1.2 in the IPC+A group, 1.2 in the A group, and 1 in the SHAM group (P<0.01).
Conclusion: Ischemic postconditioning and atorvastatin were able to minimize lung reperfusion injury, alone or in combination.
Conflict of interest statement
No conflict of interest.
Figures






References
-
- Hausenloy DJ, Yellon DM. Preconditioning and postconditioning: new strategies for cardioprotection. Diabetes Obes Metab. 2008;10(6):451–459. - PubMed
-
- Sotoudeh A, Takhtfooladi MA, Jahanshahi A, Asl AH, Takhtfooladi HA, Khansari M. Effect of N-acetylcysteine on lung injury induced by skeletal muscle ischemia-reperfusion. Histopathological study in rat model. Acta Cir Bras. 2012;27(2):168–171. - PubMed
-
- Gielis JF, Boulet GA, Briedé JJ, Horemans T, Debergh T, Kussé M, et al. Longitudinal quantification of radical bursts during pulmonary ischaemia and reperfusion. Eur J Cardiothorac Surg. 2015;48(4):622–629. - PubMed
-
- Gelman S. The pathophysiology of aortic cross-clamping and unclamping. Anesthesiology. 1995;82(4):1026–1060. - PubMed
Publication types
MeSH terms
Substances
LinkOut - more resources
Full Text Sources
Other Literature Sources
Medical