Cardiac, bone and growth plate manifestations in hypocalcemic infants: revealing the hidden body of the vitamin D deficiency iceberg
- PMID: 29940979
- PMCID: PMC6019205
- DOI: 10.1186/s12887-018-1159-y
Cardiac, bone and growth plate manifestations in hypocalcemic infants: revealing the hidden body of the vitamin D deficiency iceberg
Abstract
Background: Whilst hypocalcemic complications from vitamin D deficiency are considered rare in high-income countries, they are highly prevalent among Black, Asian and Minority Ethnic (BAME) group with darker skin. To date, the extent of osteomalacia in such infants and their family members is unknown. Our aim was to investigate clinical, cardiac and bone histomorphometric characteristics, bone matrix mineralization in affected infants and to test family members for biochemical evidence of osteomalacia.
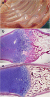
Case presentation: Three infants of BAME origin (aged 5-6 months) presented acutely in early-spring with cardiac arrest, respiratory arrest following seizure or severe respiratory distress, with profound hypocalcemia (serum calcium 1.22-1.96 mmol/L). All infants had dark skin and vitamin D supplementation had not been addressed during child surveillance visits. All three had severely dilated left ventricles (z-scores + 4.6 to + 6.5) with reduced ejection fraction (25-30%; normal 55-70), fractional shortening (7 to 15%; normal 29-40) and global hypokinesia, confirming hypocalcemic dilated cardiomyopathy. They all had low serum levels of 25 hydroxyvitamin D (25OHD < 15 nmol/L), and elevated parathyroid hormone (PTH; 219-482 ng/L) and alkaline phosphatase (ALP; 802-1123 IU/L), with undiagnosed rickets on radiographs. One infant died from cardiac arrest. At post-mortem examination, his growth plate showed a widened, irregular zone of hypertrophic chondrocytes. Histomorphometry and backscattered electron microscopy of a trans-iliac bone biopsy sample revealed increased osteoid thickness (+ 262% of normal) and osteoid volume/bone volume (+ 1573%), and extremely low bone mineralization density. Five of the nine tested family members had vitamin D deficiency (25OHD < 30 nmol/L), three had insufficiency (< 50 nmol/L) and 6/9 members had elevated PTH and ALP levels.
Conclusions: The severe, hidden, cardiac and bone pathology described here exposes a failure of public health prevention programs, as complications from vitamin D deficiency are entirely preventable by routine supplementation. The family investigations demonstrate widespread deficiency and undiagnosed osteomalacia in ethnic risk groups and call for protective legislation.
Keywords: Cardiomyopathy; Hypocalcemia; Policy; Rickets; Seizures; Vitamin D.
Conflict of interest statement
Ethics approval and consent to participate
Not applicable.
Consent for publication
Written informed consent was obtained from the children’s parents for publication of the case report and any accompanying images. A copy of the written consent is available for review by the Editor of this journal.
Competing interests
The authors declare that they have no competing interests.
Publisher’s Note
Springer Nature remains neutral with regard to jurisdictional claims in published maps and institutional affiliations.
Figures



References
Publication types
MeSH terms
LinkOut - more resources
Full Text Sources
Other Literature Sources
Medical
Research Materials
Miscellaneous