Thoracic empyema and pectoral abscess resulting from attempting suicide by injection of benzene in the pleural cavity
- PMID: 29977764
- PMCID: PMC6010669
- DOI: 10.1016/j.rmcr.2018.04.010
Thoracic empyema and pectoral abscess resulting from attempting suicide by injection of benzene in the pleural cavity
Abstract
Background: Exposure to hydrocarbon compounds, such as benzene may cause injury to several organ systems. It occurs accidentally or intentionally by ingestion, inhalation, cutaneous exposure and either subcutaneous injection or intravenous injection. We report a patient who injected benzene into the left hemithorax and secondly attempted to commit suicide with paracetamol.
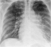
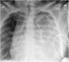
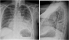
Case presentation: A 52-year old man was admitted in the hospital because of an attempted suicide with an injection of benzene in the left hemithorax and ingestion of 50 tablets of 500 mg paracetamol. He developed a hydro-tensionpneumothorax due to inflammatory pleural effusion as a reaction to intrathoracic benzene. Therefore a chest-tube was inserted. A few days later he developed an empyema in the left lung and secondly a pectoral abscess, which required surgical debridement. After surgery, recovered fully and after 23 days of hospitalisation he was discharged to a psychiatric care facility.
Conclusion: Hydrocarbon poisoning is either accidentally or intentionally and leads to thoracic pathology in rare cases. The most affected organ system is the respiratory system, and the cytotoxic effects of hydrocarbons can manifest as respiratory failure, pneumonitis and even acute respiratory distress syndrome (ARDS).
Keywords: Benzene intoxication; Hydrocarbon poisoning; Thoracic empyema.
Figures





References
-
- Porraga M., West J.M. Hydrocarbons. In: Bania T., Brent J., Hoffman R.S., editors. Emergency Toxicology. Lippinscott Raven; Philadelphia, Pennsylvania: 1998. pp. 299–313.
-
- Rush M.D., Schoenfeld C.N., Watson W.A. Skin necrosis and venous thrombosis from subcutaneous injection of charcoal lighter fluid (naptha) Am. J. Emerg. Med. 1998;16(5):508–511. - PubMed
-
- Solak I., Cankayali I., Aksu H., Moral A.R. An interesting thinner intoxication case: intrathoracic injection. Adv. Ther. 2006;23(3):502–505. - PubMed
-
- Bushe C.J. Attempted suicide by intravenous injection of lighter fuel presenting as an unusual cause of crepitus. Hum. Toxicol. 1986;5(5):347. - PubMed
Publication types
LinkOut - more resources
Full Text Sources
Other Literature Sources