Massive hemorrhage after inspection bronchoscopy for carcinoid tumor
- PMID: 29977779
- PMCID: PMC6010637
- DOI: 10.1016/j.rmcr.2018.05.002
Massive hemorrhage after inspection bronchoscopy for carcinoid tumor
Abstract
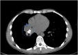
Carcinoid tumor is a neuroendocrine tumor that can arise in the bronchial tree and can be hypervascular. Here we describe a case of bronchial carcinoid tumor in a 34-year-old previously healthy male who presented with hemoptysis and right lung mass. Inspection bronchoscopy revealed bronchus intermedius endobronchial lesion and was complicated by urgent intubation and placement of endobronchial blocker for massive hemorrhage. Subsequent angiography with embolization of the bronchial artery supplying the mass resulted in control of bleeding. While massive hemorrhage has been described with biopsy of bronchial carcinoid tumor, this case suggests that careful planning for inspection bronchoscopy is needed when carcinoid tumor is suspected.
Keywords: CT, computed tomography; Carcinoid tumor; Hemoptysis; Hemorrhage.
Figures







References
-
- Godwin J.D., 2nd Carcinoid tumors. An analysis of 2,837 cases. Cancer. 1975;36(2):560–569. - PubMed
-
- Modlin I.M., Sandor A. An analysis of 8305 cases of carcinoid tumors. Cancer. 1997;79(4):813–829. - PubMed
-
- Modlin I.M., Lye K.D., Kidd M.A. 5-decade analysis of 13,715 carcinoid tumors. Cancer. 2003;97(4):934–959. - PubMed
-
- Skuladottir H., Hirsch F.R., Hansen H.H., Olsen J.H. Pulmonary neuroendocrine tumors: incidence and prognosis of histological subtypes. A population-based study in Denmark. Lung Cancer. 2002;37(2):127–135. - PubMed
-
- Harpole D.H., Jr., Feldman J.M., Buchanan S., Young W.G., Wolfe W.G. Bronchial carcinoid tumors: a retrospective analysis of 126 patients. Ann. Thorac. Surg. 1992;54(1):54–55. 50-4. - PubMed
Publication types
LinkOut - more resources
Full Text Sources
Other Literature Sources