Endobronchial Coils for Endoscopic Lung Volume Reduction: Best Practice Recommendations from an Expert Panel
- PMID: 29991060
- PMCID: PMC6530543
- DOI: 10.1159/000490193
Endobronchial Coils for Endoscopic Lung Volume Reduction: Best Practice Recommendations from an Expert Panel
Abstract
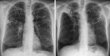
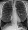
Endobronchial coils are an additional treatment option for lung volume reduction in patients with severe emphysema. Patient selection should be focused on patients with severe emphysema on optimal medical therapy and with evidence of severe hyperinflation. The technique is suitable in a broad range of patients with emphysema; however, patients with paraseptal emphysema, large focal (giant) bullae, significant co-morbidity and airway-predominant disease should be avoided. Treatment involves placing between 10 and 14 coils by bronchoscopy in the selected treatment lobe, with 2 lobes being treated sequentially. Lobe selection for treatment should be based on quantitative computed tomography, and the lobes with the greatest destruction should be targeted (excluding the right middle lobe). The treatment results in an improvement in pulmonary function, exercise performance and quality of life, particularly in patients with severe hyperinflation (residual volume > 200% predicted) and upper-lobe heterogeneous emphysema, but will also be of benefit in lower-lobe predominant and homogeneous emphysema. Finally, it has an acceptable safety profile, although special attention has to be paid to coil-associated opacity which is an inflammatory response that occurs in some patients treated with endobronchial coils.
Keywords: Bronchoscopy; COPD; Endobronchial coils; Endoscopic lung volume reduction; Severe emphysema.
© 2018 S. Karger AG, Basel.
Figures
References
-
- van Geffen WH, Kerstjens HAM, Slebos DJ. Emerging bronchoscopic treatments for chronic obstructive pulmonary disease. Pharmacol Ther. 2017;179:96–101. - PubMed
-
- Shah PL, Herth FJ, van Geffen WH, Deslee G, Slebos DJ. Lung volume reduction for emphysema. Lancet Respir Med. 2017;5:147–156. - PubMed
-
- Slebos DJ, Hartman JE, Klooster K, Blaas S, Deslee G, Gesierich W, et al. Bronchoscopic coil treatment for patients with severe emphysema: a meta-analysis. Respiration. 2015;90:136–145. - PubMed
-
- Herth FJF, Slebos DJ, Criner GJ, Shah PL. Endoscopic lung volume reduction: an expert panel recommendation - update 2017. Respiration. 2017;94:380–388. - PubMed
Publication types
MeSH terms
LinkOut - more resources
Full Text Sources
Other Literature Sources
Medical
