Avulsion fracture of the tibial eminence in an adult with a unique mechanism of injury
- PMID: 30002785
- PMCID: PMC6040231
- DOI: 10.1016/j.radcr.2018.05.015
Avulsion fracture of the tibial eminence in an adult with a unique mechanism of injury
Abstract
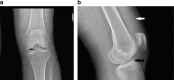
Tibial eminence avulsion fractures are not infrequent in the pediatric population; however, they are rare in the adult population. These injuries typically occur in skeletally immature patients between the ages of 8 and 14 years. We report the unique clinical history, imaging findings, and operative results of a 48-year-old female who presented with severe knee pain. Imaging findings revealed an anterior tibial eminence fracture with an intact anterior cruciate ligament tendon attached to the avulsed fragment. The patient underwent knee arthroscopy, with direct repair of the tibial eminence fracture.
Keywords: ACL avulsion; Knee arthroscopy; MRI; Tibial eminence.
Figures
References
-
- Prince JS, Laor T, Bean JA. MRI of anterior cruciate ligament injuries and associated findings in the pediatric knee: changes with skeletal maturation. AJR. 2005;185:756–762. - PubMed
-
- Remer EM, Fitzgerald SW, Friedman H. Anterior cruciate ligament injury: MR imaging diagnosis and patterns of injury. RadioGraphics. 1992;12:901–915. - PubMed
-
- Shea KG, Apel PJ, Pfeiffer RP. Anterior cruciate ligament injury in paediatric and adolescent patients. Sports Med. 2003;33:455–471. - PubMed
-
- Millett PJ, Willis AA, Warren RF. Associated injuries in pediatric and adolescent anterior cruciate ligament tears: does a delay in treatment increase the risk of meniscal tear? Arthroscopy. 2002;18:955–999. - PubMed
-
- Anderson CN, Anderson AF. Tibial eminence fracture. Clin Sports Med. 2011;30:727–742. - PubMed
Publication types
LinkOut - more resources
Full Text Sources
Other Literature Sources
