Intramural Bowel Hematoma Presenting as Small Bowel Obstruction in a Patient on Low-Molecular-Weight Heparin
- PMID: 30009073
- PMCID: PMC6020481
- DOI: 10.1155/2018/8780121
Intramural Bowel Hematoma Presenting as Small Bowel Obstruction in a Patient on Low-Molecular-Weight Heparin
Abstract
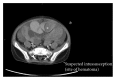
There is increasing use of low-molecular-weight heparin (LMWH) for treatment of pediatric thromboembolic disease as it has been shown to be safe and effective. It has several advantages over unfractionated heparin, such as reduced need for monitoring, easier route of administration, decreased risk of heparin-induced thrombocytopenia, and lack of drug-drug interactions. Nevertheless, LMWH still poses a bleeding risk as with any anticoagulant therapy. We present the case of a 4-year-old boy who was placed on LMWH for a catheter-related deep venous thrombosis in the setting of intractable seizures and subsequently developed a small bowel obstruction secondary to a suspected intussusception. He underwent exploratory laparotomy and was found to have an intramural bowel hematoma. Prior to this bleed, the patient had been monitored daily, and his anti-Xa levels were found to be in the therapeutic range. This case highlights the need for a high index of suspicion for spontaneous bleeding even in the setting of therapeutic anti-Xa levels.
Figures
References
-
- Monagle P., Chan A. K. C., Goldenberg N. A., et al. Antithrombotic therapy in neonates and children: antithrombotic therapy and prevention of thrombosis, 9th ed: American College of Chest Physicians evidence-based clinical practice guidelines. Chest. 2012;141(2):e737S–e801S. doi: 10.1378/chest.11-2308. - DOI - PMC - PubMed
-
- Massicotte P., Julian J. A., Gent M., et al. An open-label randomized controlled trial of low molecular weight heparin for the prevention of central venous line-related thrombotic complications in children: the PROTEKT trial. Thrombosis Research. 2003;109(2-3):101–108. doi: 10.1016/s0049-3848(03)00099-9. - DOI - PubMed
-
- Massicotte P., Julian J. A., Gent M., et al. An open-label randomized controlled trial of low molecular weight heparin compared to heparin and coumadin for the treatment of venous thromboembolic events in children: the REVIVE trial. Thrombosis Research. 2003;109(2-3):85–92. doi: 10.1016/s0049-3848(03)00059-8. - DOI - PubMed
Publication types
LinkOut - more resources
Full Text Sources
Other Literature Sources
