Spontaneous Resolution of IgG4-Related Hepatic Inflammatory Pseudotumor Mimicking Malignancy
- PMID: 30022921
- PMCID: PMC6047548
- DOI: 10.1159/000490100
Spontaneous Resolution of IgG4-Related Hepatic Inflammatory Pseudotumor Mimicking Malignancy
Abstract
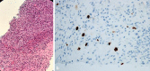
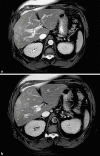
Hepatic inflammatory pseudotumor (IPT) is characterized by a well-circumscribed benign tumor mimicking or often mistaken for a malignant lesion. A 48-year-old male presented to the hospital with complaints of epigastric pain, with initial laboratory findings showing mildly elevated alkaline phosphatase (140 U/L) with normal AST, ALT, bilirubin, and lipase, a CD4 count of 384, and an HIV viral load of > 10 million copies. The total IgG level was elevated to 2,228 mg/dL (normal IgG4 level 114 mg/dL). Contrast-enhanced MRI of the abdomen showed heterogeneous mass-like infiltration in the right lobe of the liver measuring 9.6 cm. The liver mass was biopsied which showed dense collagenous fibrosis with abundant lymphoplasmacytic infiltrates with 18 IgG4-positive plasma cells per high-power field. The patient was not given any treatment for this IPT. For more than 1 year of follow-up triple-phase CT scan of the liver was repeated, which showed no liver mass. As radiological images of hepatic IPTs, including IgG4-related hepatic IPT, mimic liver malignancy, histological analysis of the biopsy remains the cornerstone for the diagnosis. Symptomatic patients with IgG4-related hepatic IPT have shown improvement with corticosteroid use; however, spontaneous resolution has also been reported like in the present case.
Keywords: HIV-positive patient; IgG4-related diseases; Inflammatory pseudotumor; Lymphoplasmacytic infiltrate; Storiform fibrosis.
Figures
References
-
- Umiker WO, et al. Postinflammatory tumors of the lung; report of four cases simulating xanthoma or plasma cell tumor. J Thorac Surg. 1954 Jul;28((1)):55–63. - PubMed
-
- Scott L, Blair G, Taylor G, Dimmick J, Fraser G. Inflammatory pseudotumors in children. J Pediatr Surg. 1988 Aug;23((8)):755–8. - PubMed
-
- Coffin CM, Humphrey PA, Dehner LP. Extrapulmonary inflammatory myofibroblastic tumor: a clinical and pathological survey. Semin Diagn Pathol. 1998 May;15((2)):85–101. - PubMed
-
- Tsou YK, Lin CJ, Liu NJ, Lin CC, Lin CH, Lin SM. Inflammatory pseudotumor of the liver: report of eight cases, including three unusual cases, and a literature review. J Gastroenterol Hepatol. 2007 Dec;22((12)):2143–7. - PubMed
Publication types
LinkOut - more resources
Full Text Sources
Other Literature Sources
Research Materials
