Value of virtual monochromatic spectral images with metal artifact reduction algorithm in dual-energy computed tomography-guided microcoil localization of pulmonary nodules
- PMID: 30024555
- PMCID: PMC6086503
- DOI: 10.1097/MD.0000000000011562
Value of virtual monochromatic spectral images with metal artifact reduction algorithm in dual-energy computed tomography-guided microcoil localization of pulmonary nodules
Abstract
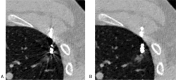
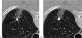
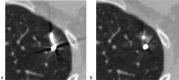
To evaluate the clinical value of virtual monochromatic spectral (VMS) images with metal artifact reduction (MAR) algorithm in dual-energy computed tomography (DECT)-guided microcoil localization of pulmonary nodules.Fifty-one patients underwent DECT after placement of microcoils on small pulmonary nodules before video-assisted thoracoscopic surgery (VATS). Optimal energy level (in keV) was defined as the level at which CT values of nodules were equivalent to those of 120 kVp images and with no serious metal artifacts. VMS images at optimal keV and at 50, 90,110, and 140 keV with and without MAR were reconstructed. Image quality was scored using a 3-point scale: 1 = excellent, minimal artifacts; 2 = good, mild artifacts; and 3 = poor, extensive artifacts. Image quality scores between the VMS-only and VMS + MAR groups were compared;74 keV was found to be the optimal level for VMS images. The image quality of the VMS + MAR images at 74 keV were significantly better than VMS-only images (1.35 ± 0.59 vs 2.11 ± 0.87, P = .005). There was no difference in image quality score among VMS + MAR images at 74 keV and higher energy levels.VMS images from DECT at 74 keV with MAR can reduce artifacts from microcoils and improve image quality for microcoil localization of pulmonary nodules.
Conflict of interest statement
The authors declare no conflicts of interest.
Figures
References
-
- Su TH, Fan YF, Jin L, et al. CT-guided localization of small pulmonary nodules using adjacent microcoil implantation prior to video-assisted thoracoscopic surgical resection. Eur Radiol 2015;25:2627–33. - PubMed
-
- Sangha BS, Rootman J, Heran MK. CT-guided microcoil localization before surgical management of an intraorbital abscess. J Vasc Interv Radiol 2012;23:1248–9. - PubMed
-
- Kha LC, Hanneman K, Donahoe L, et al. Safety and efficacy of modified preoperative lung nodule microcoil localization without pleural marking: a pilot study. J Thorac Imaging 2016;31:15–22. - PubMed
-
- Razek AA, Ezzat A, Azmy E, et al. Role of whole-body 64-slice multidetector computed tomography in treatment planning for multiple myeloma. Radiol Med 2013;118:799–805. - PubMed
Publication types
MeSH terms
Substances
LinkOut - more resources
Full Text Sources
Other Literature Sources
Medical
