Renal Angiomyolipoma: The Good, the Bad, and the Ugly
- PMID: 30039053
- PMCID: PMC6032655
- DOI: 10.5334/jbsr.1536
Renal Angiomyolipoma: The Good, the Bad, and the Ugly
Abstract
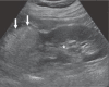
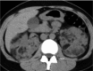
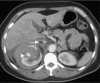
Angiomyolipomas (AMLs) are the most common benign renal tumours. Most of these neoplasms are found incidentally on imaging. However, symptomatic presentation does exist. Renal AMLs are typically composed of smooth muscle, blood vessels, and adipose tissue. Because of the abundant fat tissue, they give a characteristic appearance on imaging and are therefore easily diagnosed. However, sometimes they contain too little fat to be detected. This increases the difficulty in differentiating them from renal cell carcinoma (RCC). Management of AML is based on clinical presentation and should be individualized for every patient. Treatment modalities range from active surveillance to more invasive approaches.
Keywords: angiomyolipoma; imaging; renal; therapy; tuberous sclerosis complex.
Figures





References
LinkOut - more resources
Full Text Sources
Other Literature Sources
Research Materials