Furcation Involvement Classification: A Comprehensive Review and a New System Proposal
- PMID: 30041399
- PMCID: PMC6162379
- DOI: 10.3390/dj6030034
Furcation Involvement Classification: A Comprehensive Review and a New System Proposal
Abstract
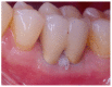
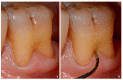
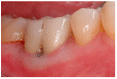
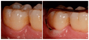
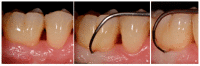
Various classification systems have been proposed to describe furcation lesions and Glickman's classification for many years seems to have been the most widely utilized in the sole clinical diagnosis with no reference to the prognostic value of the lesion itself. This article reviews the previous classification systems and proposes a new method to classify furcation lesions based on the position of the gingival margin and its relationship with the furcation area (clinically exposed/non-exposed furcation area) providing significant aid for a better understanding of furcation involvements and increases the prognostic value of treatments in the long term.
Keywords: classification; furcation lesions; gingival recession; prognosis.
Conflict of interest statement
The authors declare no conflict of interest.
Figures
References
-
- American Academy of Periodontology . Glossary of Periodontal Terms. 4th ed. American Academy of Periodontology; Chicago, LA, USA: 2001. [(accessed on 2 November 2017)]. Available online: https://members.perio.org/libraries/glossary.
-
- Glickman I. Clinical Periodontology: Prevention, Diagnosis, and Treatment of Periodontal Disease in the Practice of General Dentistry. 4th ed. Saunders; Philadelphia, PA, USA: 1972. pp. 242–245.
-
- Heins P.J., Canter S.R. The furca involvement: A classification of bony deformities. Periodontics. 1968;6:84–86. - PubMed
Publication types
LinkOut - more resources
Full Text Sources
Other Literature Sources
Medical
