Invasive Fungal Sinusitis Presenting as Acute Posterior Ischemic Optic Neuropathy
- PMID: 30042790
- PMCID: PMC6056227
- DOI: 10.1080/01658107.2017.1392581
Invasive Fungal Sinusitis Presenting as Acute Posterior Ischemic Optic Neuropathy
Abstract
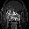
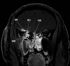
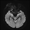
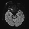
Invasive fungal sinusitis causes painful orbital apex syndrome with ophthalmoplegia and visual loss; the mechanism is unclear. We report an immunocompromised patient with invasive fungal sinusitis in whom the visual loss was due to posterior ischaemic optic neuropathy, shown on diffusion-weighted MRI, presumably from fungal invasion of small meningeal-based arteries at the orbital apex. After intensive antifungal drugs, orbital exenteration and immune reconstitution, the patient survived, but we were uncertain if the exenteration helped. We suggest that evidence of acute posterior ischaemic optic neuropathy should be a contra-indication to the need for orbital exenteration in invasive fungal sinusitis.
Keywords: Invasive fungal sinusitis; orbital exenteration; posterior ischaemic optic neuropathy.
Figures






References
-
- Weinstein JM, Morris GL, ZuRhein GM, Gentry LR.. Posterior ischemic optic neuropathy due to Aspergillus fumigatus. J Clin Neuroophthalmol. 1989;9:7–13.bk_AQCmts2b - PubMed
LinkOut - more resources
Full Text Sources
Other Literature Sources
Miscellaneous