Leser-Trélat Sign Presenting in a Patient with Relapsing Mycosis Fungoides
- PMID: 30057539
- PMCID: PMC6062719
- DOI: 10.1159/000490527
Leser-Trélat Sign Presenting in a Patient with Relapsing Mycosis Fungoides
Abstract
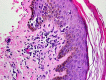
The Leser-Trélat sign is a rare sign of some malignant tumors and is characterized by the sudden appearance of seborrheic keratosis in association with an underlying malignancy. We describe a 60-year-old Saudi man with mycosis fungoides (MF) who developed numerous, rapidly growing, seborrheic keratoses on his face and back. To the best of our knowledge, this is the first reported case of MF with the Leser-Trélat sign from Saudi Arabia.
Keywords: Leser-Trélat sign; Mycosis fungoides; Paraneoplastic; Seborrheic keratoses.
Figures




References
-
- Leser E. Ueber ein die Krebskrankheit beim Menschen haufig begleitendes, noch wenig gekanntes Symptom. Munch Med Wochenschr. 1901;51:2035–6.
-
- Pipkin CA, Lio PA. Cutaneous manifestations of internal malignancies: an overview [vii.] Dermatol Clin. 2008 Jan;26((1)):1–15. - PubMed
-
- Lindelöf B, Sigurgeirsson B, Melander S. Seborrheic keratoses and cancer. J Am Acad Dermatol. 1992 Jun;26((6)):947–50. - PubMed
-
- Schwengle LE, Rampen FH, Wobbes T. Seborrhoeic keratoses and internal malignancies. A case control study. Clin Exp Dermatol. 1988 May;13((3)):177–9. - PubMed
-
- Cohen JH, Lessin SR, Vowels BR, Benoit B, Witmer WK, Rook AH. The sign of Leser-Trélat in association with Sézary syndrome: simultaneous disappearance of seborrheic keratoses and malignant T-cell clone during combined therapy with photopheresis and interferon alfa. Arch Dermatol. 1993 Sep;129((9)):1213–5. - PubMed
Publication types
LinkOut - more resources
Full Text Sources
Other Literature Sources