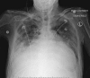
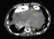
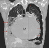
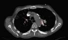
An Audaciously Aneurysmal Atrium
- PMID: 30062315
- PMCID: PMC6058409
- DOI: 10.1016/j.case.2017.10.005
An Audaciously Aneurysmal Atrium
Keywords: Echocardiography; Imaging; Mitral stenosis; Rheumatic heart disease.
Figures










References
-
- Piccoli G.P., Massini C., Di Eusanio G., Ballerini L., Iacobone G., Soro A. Giant left atrium and mitral valve disease: early and late results of surgical treatment in 40 cases. J Cardiovasc Surg. 1984;86:595–601. - PubMed
-
- Hurst J.W. Memories of patients with a giant left atrium. Circulation. 2001;104:2630–2631. - PubMed
-
- Oh J.K. Echocardiographic evaluation of morphological and hemodynamic significance of giant left atrium. Circulation. 1992;86:328–330. - PubMed
Publication types
LinkOut - more resources
Full Text Sources
Other Literature Sources