Clinical and Functional Characterization of the Recurrent TUBA1A p.(Arg2His) Mutation
- PMID: 30087272
- PMCID: PMC6119949
- DOI: 10.3390/brainsci8080145
Clinical and Functional Characterization of the Recurrent TUBA1A p.(Arg2His) Mutation
Abstract
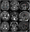
The TUBA1A gene encodes tubulin alpha-1A, a protein that is highly expressed in the fetal brain. Alpha- and beta-tubulin subunits form dimers, which then co-assemble into microtubule polymers: dynamic, scaffold-like structures that perform key functions during neurogenesis, neuronal migration, and cortical organisation. Mutations in TUBA1A have been reported to cause a range of brain malformations. We describe four unrelated patients with the same de novo missense mutation in TUBA1A, c.5G>A, p.(Arg2His), as found by next generation sequencing. Detailed comparison revealed similar brain phenotypes with mild variability. Shared features included developmental delay, microcephaly, hypoplasia of the cerebellar vermis, dysplasia or thinning of the corpus callosum, small pons, and dysmorphic basal ganglia. Two of the patients had bilateral perisylvian polymicrogyria. We examined the effects of the p.(Arg2His) mutation by computer-based protein structure modelling and heterologous expression in HEK-293 cells. The results suggest the mutation subtly impairs microtubule function, potentially by affecting inter-dimer interaction. Based on its sequence context, c.5G>A is likely to be a common recurrent mutation. We propose that the subtle functional effects of p.(Arg2His) may allow for other factors (such as genetic background or environmental conditions) to influence phenotypic outcome, thus explaining the mild variability in clinical manifestations.
Keywords: TUBA1A; cerebellar hypoplasia; p.(Arg2His), R2H; polymicrogyria; tubulin; tubulinopathy.
Conflict of interest statement
The authors declare no conflict of interest.
Figures



References
-
- Gloster A., Wu W., Speelman A., Weiss S., Causing C., Pozniak C., Reynolds B., Chang E., Toma J.G., Miller F.D. The T alpha 1 alpha-tubulin promoter specifies gene expression as a function of neuronal growth and regeneration in transgenic mice. J. Neurosci. 1994;14:7319–7330. doi: 10.1523/JNEUROSCI.14-12-07319.1994. - DOI - PMC - PubMed
Grants and funding
LinkOut - more resources
Full Text Sources
Other Literature Sources
Miscellaneous