Congenital anomalies of the pulmonary arteries: an imaging overview
- PMID: 30102560
- PMCID: PMC6435093
- DOI: 10.1259/bjr.20180185
Congenital anomalies of the pulmonary arteries: an imaging overview
Abstract
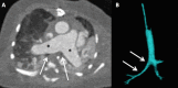
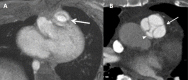
Congenital pulmonary artery anomalies represent a diverse group of abnormalities, ranging from asymptomatic incidental findings to causes of sudden cardiac death. While some may be recognized in childhood, others may be found incidentally in adulthood. We review the clinical and imaging findings in patients with congenital anomalies of the pulmonary arteries, including valvular and perivavular anomalies as well as abnormal narrowing, course and communications of the pulmonary arteries. We also discuss the role of various imaging modalities in the evaluation of these patients. It is vital to be aware of the key radiologic manifestations and associated haemodynamic consequences in these conditions in order to facilitate accurate diagnosis and prognostic stratification.
Figures











References
-
- Dail D. H, Dail H. S. P. Hammar's Pulmonary Pathology, 3rd ed , Vol. 1 . New York: The British Institute of Radiology.; 2008. .
-
- Carter BW. Lichtenberger JP 3rd, Wu CC. Congenital abnormalities of the pulmonary arteries in adults. AJR Am J Roentgenol 2014; 202: W308–13. - PubMed
Publication types
MeSH terms
LinkOut - more resources
Full Text Sources
Other Literature Sources
Medical